返回上一页  首页 | cnbeta报时: 16:50:42
在新冠患者肺部严重受损后 医生们对其进行先进的双肺移植手术
发布日期:2020-06-12 09:03:55  稿源:Win10s.COM

据外媒报道,在一名新冠肺炎患者肺部严重受损并只能靠呼吸机维持生命后,美国医生们首次对一名COVID-19患者进行了先进的肺移植手术。这场风险很大的手术是在美国西北纪念医院进行的,专家们得出结论,如果没有两个新肺,病人将没有生存的机会。

ECMO-patient-room-1-1280x720.jpg

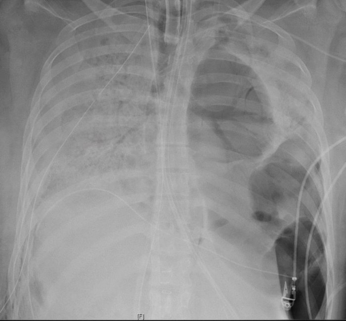
虽然围绕COVID-19的不确定性仍然存在,但病毒的某些方面及其对人体的影响已经非常清楚。新冠病毒会对肺部产生重大影响,特别是在感染的晚期阶段。这可能导致肺炎、急性呼吸窘迫综合征和败血症,造成持久的损害。

移植手术是在对于这个特殊的COVID病人(一位20多岁的西班牙裔女性)进入重症监护室六周后进行的。这涉及到由呼吸机和体外膜氧合(ECMO)的机器支持,有效地接管了她受损的心脏和肺部的工作。医院说,即使有这种支持,"到6月初,病人的肺部出现了不可逆的损伤"。

Patients-COVID-lung-x-ray-863x800.jpeg

部分挑战在于,虽然如果这名女子要想存活下来,移植显然是必要的。“在许多天里,她是COVID ICU中也可能是整个医院里病得最重的人,”西北纪念医院的肺部和重症监护专家Beth Malsin说。“有这么多次,白天和晚上,我们的团队必须迅速做出反应,帮助她的氧合,并支持她的其他器官,以确保它们足够健康,以支持移植,如果和当机会到来。”

Dr.-Bharat-OR-1-1536x960.jpg

胸外科主任、外科主任Ankit Bharat医学博士将手术描述为“相当具有技术挑战性”。根据西北医学的数据,超过85%至90%的肺移植患者都能继续存活一年。尽管如此,仍有很多问题。虽然COVID-19患者的完整医疗记录尚未公布,但医院将她描述为“一个20多岁的健康女性”。“关于COVID-19,我们还有很多东西没有了解,”肺科医生、该医院肺移植项目的医学主任Rade Tomic博士承认。“例如为什么有些病例比其他病例病情更糟糕?”

查看网友评论   返回完整版观看

返回上一页  首页 | cnbeta报时: 16:50:42

文字版  标准版  电脑端

© 2003-2026