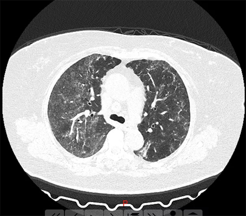
近日,河南郑州的张女士和王女士到医院就诊,结果胸部CT显示呈毛玻璃状,和新冠肺炎的CT表现基本一模一样。经询问,两人每天定时在家里喷洒高浓度的84消毒液,从而引起过敏性肺泡炎。主治医生李凤芝说:“张女士和王女士她们两个都是以头晕、乏力、闷气入院的,在疫情期间,常规查了胸部CT,结果显示呈毛玻璃状。”
两人并没有发烧及咳嗽、呼吸困难等症状,也未在发热门诊就诊,当时把医生吓了一跳。

↑↑张女士肺部CT

王女士肺部CT
李凤芝还称,从CT影像来看非常像新冠肺炎,但是病人的接触史、症状表现,包括血象也是不符合的。
主治医生张小红主任称,张女士和王女士在家里使用84消毒液,确定是一个过敏性肺泡炎!
据了解,过敏性肺泡炎是指易感人群反复吸入各种具有抗原性的有机粉尘、低分子量化学物质,引起的一组弥漫性间质性肉芽肿性肺病。反复发作可致肺纤维化,甚至可发展为呼吸衰竭。
张小红还表示,通过询问两位女生对84消毒液的配比时,发现她们完全不知道,只是在电视上看到用84消毒液加点水一混,就在屋里消毒,消毒以后又没有开窗通风,长时间吸入了高浓度的84消毒液,就引起了肺部损伤。
接下来,医生把她们房间里的消杀用品换成酒精后,很快有了疗效。两三天以后复查片子,影像基本上都吸收完了。