据外媒BGR报道,一项新研究通过对新冠肺炎和流感这两种疾病死亡者的肺部组织进行比较,发现COVID-19明显比流感严重。新冠病毒可以在血管层面造成严重的损伤,包括对肺部毛细血管的损伤,可显著降低肺部的功能。新研究证实了此前的研究结果,即血液凝结可能是新冠病毒的一个重要症状,与流感感染时发生的情况不同。
一直在前线与这种疾病作斗争的医生们在几周前开始观察到不寻常的新冠症状。这些症状包括心脏问题以及神经系统的症状,这对于类似流感的疾病来说是意想不到的。一些医院注意到年轻患者的中风发病率上升,而这些年轻患者通常不会有患此类疾病的风险。此后不久,越来越多的研究解释说,COVID-19会导致异常的血液凝结,影响心脏、大脑和其他器官的血流,可能是COVID-19并发症的原因。一项研究说,血液稀释剂应用于COVID-19治疗,以防止危及生命的问题。

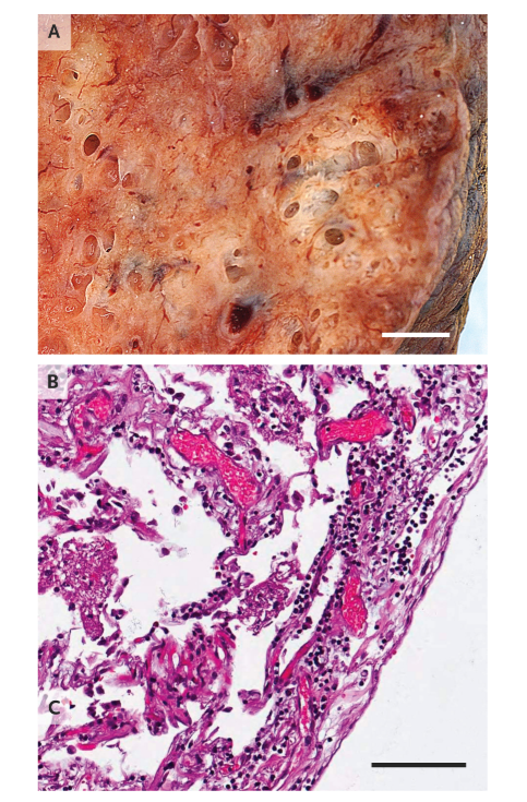
而上周发表在《新英格兰医学杂志》上的一项新研究,详细介绍了新冠病毒对肺部造成的伤害。研究人员比较了7名COVID-19死亡患者的肺部组织、死于流感病毒肺炎患者的肺部组织和10名捐献移植但未使用的肺部组织。两种受损肺部的较大血管的血栓水平相似。但新冠病毒攻击的是血管内膜,这与死于流感的人的肺部有着至关重要的区别。研究人员发现,在COVID-19肺部内的微观血块比流感患者的肺部内的微观血块多9倍。病毒可能破坏了这些毛细血管壁,阻碍了气体的流动。他们还发现了血管壁内部发炎和受损的细胞。
而来自COVID-19患者的肺部试图通过生长新的血管来对抗病毒的攻击。“来自于COVID-19患者的肺部有显著的新血管生长,”研究人员说。正是在这个层面上,气体的变化才会发生。血液将二氧化碳带入肺部并获取氧气,这是一个持续的过程,显然是至关重要的。任何肺部血管化的问题加上已经损害了下呼吸道的病原体,都可能导致严重的呼吸困难。可能需要进行吸氧治疗,包括呼吸机。而COVID-19的患者,最后上了机器的患者往往无法恢复。
“COVID-19的不同之处在于,在缺氧之前,肺部不会僵硬或受伤或被破坏,”哈佛大学医学院外科教授Steven J. Mentzer告诉《华盛顿邮报》。“不管是什么原因,都会有一个血管阶段,”除了流感等病毒性疾病常见的损伤外。
Mentzer还表示,肺部可能试图通过创造更多的肺部血管来向缺氧组织传递更多的氧气。“这可能是能让人好起来的东西之一,”他说。该团队并没有所有的答案,它还没能确定是什么可能导致血管部分的疾病。“恢复得相当好的病人有一个纯粹的呼吸系统疾病,而有问题的病人也有血管成分,”Mentzer指出。