据外媒BGR报道,法国是受新型冠状病毒影响最严重的欧洲国家之一,目前该国新冠确诊人数已超过17万,其中25537人死亡。这个数字并不确切,因为法国在4月中旬就意识到,大量住在养老院的居民和医护人员很可能被感染,尽管并不是所有的人都接受了COVID-19检测。除此之外,可能还有成千上万的人是无症状感染者,所以他们可能并未被记录为COVID-19阳性--当然,同样的假设对于任何一个处理地方性新冠病毒爆发的国家来说都是有效的。

法国早在2019年12月就已经开始对出现流感样症状后可能死亡的患者进行了回访,发现证据显示,该地区首例COVID-19病例可能可以追溯到2019年年底,比最初认为的时间早了一个多月。
法国的首例COVID-19病例是在1月27日报告的,但疫情似乎一直到2月下旬才得到控制。就在这时,欧洲的新冠疫情爆发了。来自巴黎医生的新数据称,首批COVID-19病例可能在2019年12月下旬出现。据CNN报道,巴黎塞纳河圣但尼医院集团的一个研究团队称:“COVID-19在2019年12月下旬就已经在法国蔓延,比该国正式报告的首例病例早近一个月。”这项研究于周日发表在《国际抗菌剂杂志》上。
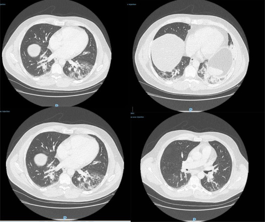
重症监护专家Yves Cohen博士和他的同事们研究了早期患者的记录,寻找是否有未被发现的 COVID-19病例的记录。该团队看了所有12月2日和1月16日之间入院的流感样症状的病例。然后,他们对这些患者的冷冻样本进行了检测,发现有一名男子确实感染了新型冠状病毒。

“其中一个样本是从一名42岁的男子身上提取的阳性样本,他出生于阿尔及利亚,在法国生活多年,曾做过鱼贩子,”研究小组说。“他最后一次旅行是在2019年8月期间前往阿尔及利亚。”
该男子一直没有来过中国,他的一个孩子也一直在生病。这名男子还患有哮喘和II型糖尿病,在医院住院两天后,经过抗生素治疗,12月29日出院,病情已有好转。然而四天后他的症状加重,因咳嗽伴有咯血、头痛、发热等症状再次进入急诊室。鉴于新冠病毒的症状需要2到14天才能出现,研究人员预计该男子可能是在12月中旬被感染的。
“确定第一个感染者的身份具有重大的流行病学意义,因为它极大地改变了我们对SARS-COV-2及其在国内传播的知识。此外,缺乏与中国的联系,以及最近的旅行情况表明,在2019年12月底,这种疾病已经在法国人群中传播,” Cohen的团队写道。“我们的研究结果强烈支持这两个假设,表明许多无症状患者在2020年1月期间没有被诊断出来,并促成了这一流行病的传播。”

如果得到证实,这些结论可能表明,一些国家正在运行的缓解疫情的模型可能是不准确的。这项研究没有解释病人是从何处感染的。
几天前,意大利也有类似的研究。一个医生团队发现,该国首批COVID-19患者可能早在1月份就已经出现,甚至可能更早。意大利的首批病例是在1月31日确诊的,但那是两名来自中国的游客。首批感染该病的意大利人是在2月21日被发现的。和法国的研究一样,意大利人认为他们的首批病例可能不是直接来自中国。相反,这种新型冠状病毒可能是从德国传入意大利的。