返回上一页  首页 | cnbeta报时: 17:20:17
研究发现电动汽车产生的电磁辐射不会对心脏起搏器构成威胁
发布日期:2020-04-08 08:36:35  稿源:Win10s.COM

据外媒报道,虽然这种情况并不经常发生,但仍有电磁场会影响到心脏植入物如心脏起搏器性能的可能性。不过,对接受者来说幸运的是,一项新的研究表明,电动汽车产生的电磁辐射不会带来这样的危险。这项由慕尼黑工业大学的科学家跟德国心血管研究中心及新西兰惠灵顿医院的研究人员共同进行的研究招募了108名志愿者。

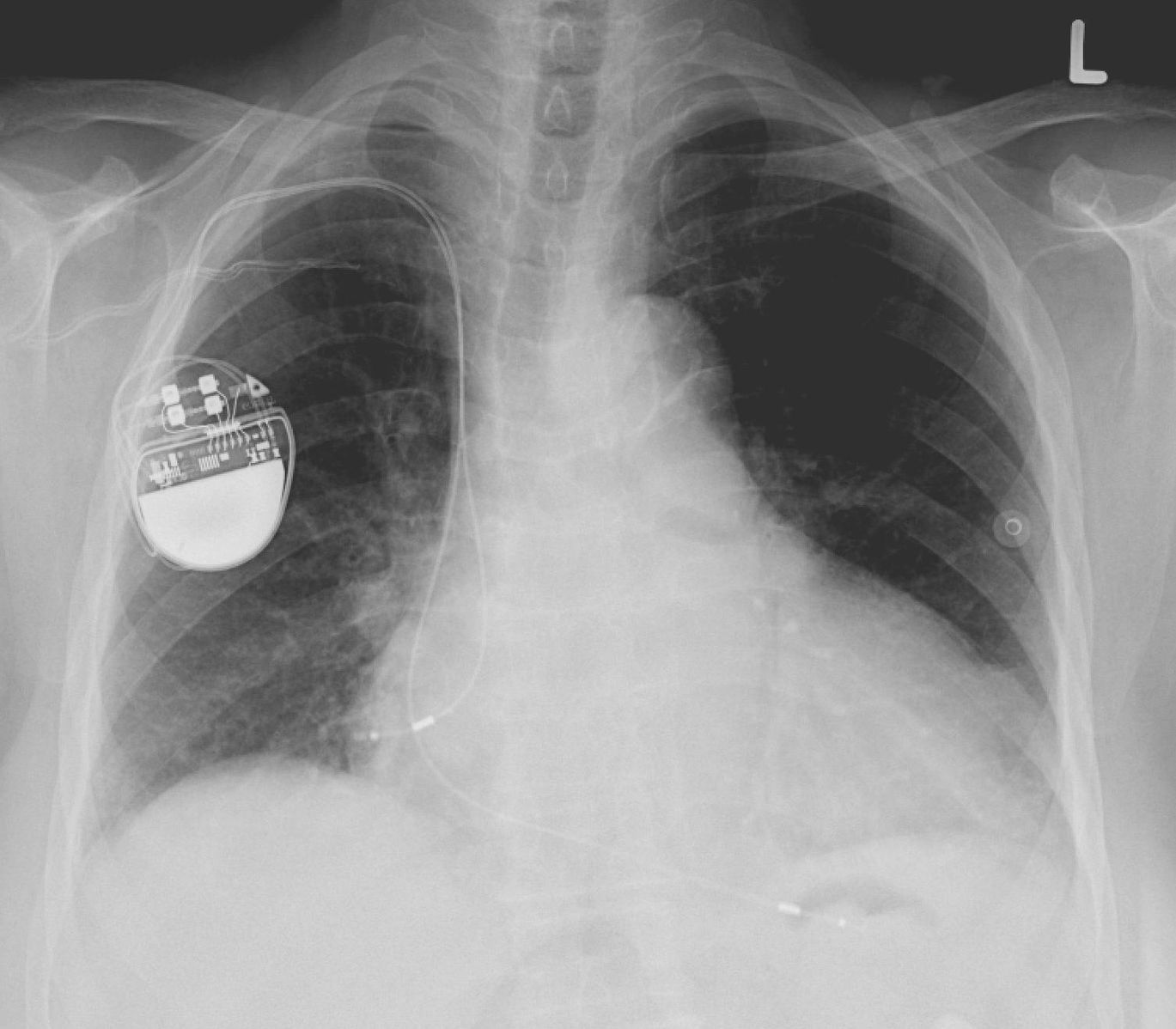
1369px-Pacemaker.jpg

资料图

其中83%为男性,并且他们所有人都植入了电子设备(CIEDs),换言之,他们都曾通过手术在体内安装了起搏器和除颤器。

测试过程中,每个人同时为两款不同的商用电动汽车(日产Leaf、特斯拉Model S P85、宝马i3、大众eUp)充电、驾驶。据悉,这些车在电机功率、扭矩、电池容量和充电系统方面各不相同。

驾驶发生在一个固定的滚轮工作台平台上,在这个平台上,阻力被加大,以最大限度地提高车辆的发动机输出。这样做则是为了确保这些电机产生的电磁辐射至少跟现实驾驶条件下产生的电磁辐射一样强。在整个测试过程中,汽车内部和周围的电磁场水平都受到了监控,志愿者的CIEDs的表现也是如此。

虽然人们注意到,最强烈的电磁场实际上是在车辆电池充电时产生的,但没有发现该电磁场会高到足以影响参与者的植入设备。据科学家披露,这可能是由于电动汽车内置的屏蔽以保护他们的计算机系统免受电磁干扰。

惠灵顿医院的Matthew O'Connor博士指出,在目前的技术条件下,电动汽车的使用似乎是安全的。“在我们的测试中,驾驶或充电时既没有检测到不良事件,也没有检测到电磁干扰。”

相关研究报告已发表在《Technology and Health Care》上。

查看网友评论   返回完整版观看

返回上一页  首页 | cnbeta报时: 17:20:17

文字版  标准版  电脑端

© 2003-2026