众所周知,狗拥有令人难以置信的嗅觉,但是新的研究发现了狗狗用它们的鼻子寻找出路的另一种方式。科学家发现了所谓的狗狗的“全新感官”,观察它们的湿鼻尖如何被用来感知附近物体的热量,就像热红外传感器一样。
这项研究是由瑞典隆德大学的科学家以及匈牙利罗兰大学的一个团队进行的,他们进行了两次实验,发现了这种令人惊奇的新犬科动物技能。
隆德大学的研究人员进行了一项行为研究,向三只狗展示了两个物体,一个中性物体的温度大约为环境温度,一个具有毛茸茸哺乳动物的表面温度。通过训练,这些狗狗便能够根据辐射热在1.6米(5.2英尺)的距离内区分两个物体。

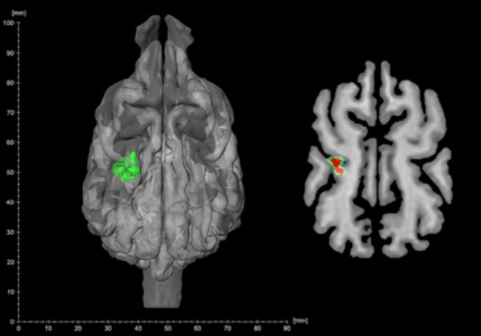
同时,罗兰大学的科学家使用磁共振成像技术观察了狗狗大脑不同区域对热刺激的反应情况,这些温度与其他实验大致相同。温度较高的物体会在左体感关联皮层(大脑处理感觉信息的部分)中引起反应,科学家得出结论认为,这很可能来自鼻腔(鼻子周围潮湿、无毛的皮肤)。
隆德大学教授罗纳德·克罗格(Ronald Kröger)说:“考虑到狗和人共同生活了15000年,我们花了相当长的时间才发现它。”
科学家们认为,这里有一个进化论值得我们学习,这表明像狼这样的捕食者是如此有效的猎人,因为它们似乎能够从远处发现猎物。同时,它们狩猎的生物将受益于某种伪装,例如,这可以解释为什么某些动物具有浓密的皮毛。此外,这些发现对于确定自然灾害后最适合进行狩猎和营救行动的犬种可能是有用的。
克罗格表示:“狗的鼻子必须很冷才能找到温暖的人体。我们的结果表明,您不应该选择因繁殖而无法冷却鼻子的狗。另外,如果除了嗅觉还能使用感知热量的技能,训练狗狗会更有效。”
该研究发表在《科学报告》杂志上。