免疫疗法是一种越来越强大的癌症治疗形式,患者自身的免疫系统具有增强的抵抗疾病的能力,其中有前途的一类称为过继细胞疗法。这涉及使用患者自身细胞的改变版本来触发来自其自身免疫系统的更强烈的反应。约翰斯·霍普金斯金梅尔癌症中心的科学家报告了该领域一项激动人心的进展,表明经过基因编辑的骨髓细胞可以减缓小鼠前列腺癌和胰腺癌的生长。
这项研究是在先前的研究基础上进行的,科学家证明了包括黑色素瘤,结肠癌和脑癌在内的多种癌症,在缺乏特定基因(称为p50)的小鼠中生长得慢得多,该基因似乎可以激活更强的免疫反应。约翰霍普金斯大学的研究人员试图进一步验证这些早期发现,同时扩大有前途的癌症治疗方法的实用性。
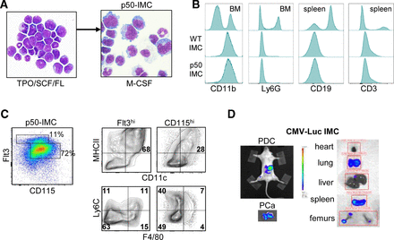
为了做到这一点,研究小组使用了所谓的未成熟髓样细胞(一种白细胞)进行了研究。以前的研究表明这种白细胞可以帮助开启对抗肿瘤的免疫反应。在这种情况下,未成熟髓样细胞是从缺乏p50基因的小鼠骨髓中取出的,作为将它们与拥有p50基因的小鼠的细胞行为进行比较的一种方法。

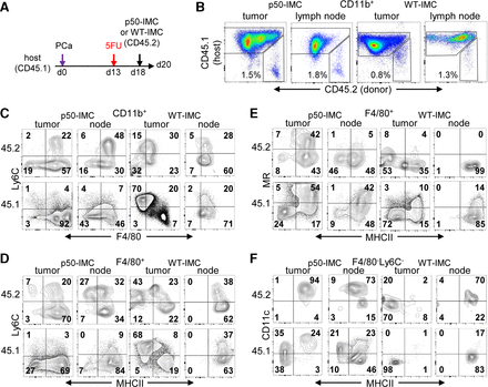
研究小组给p50缺陷型小鼠以及另一组普通小鼠接种了人类前列腺癌和胰腺癌细胞。两组均用一种称为5-氟尿嘧啶的常见癌症药物进行了预处理,研究小组发现,将其与缺乏p50的髓样细胞结合使用时,可产生明显更好的结果。
在这些小鼠中,在14种胰腺癌中的13种(93%)和15种胰腺癌中的8种(53%)中,肿瘤的生长速度至少慢了三倍。在某些情况下,联合治疗在胰腺癌小鼠中引起了显著的消退,肿瘤大小甚至只有原来的十分之一,科学家们称其为“显著的”。

这些结果进一步表明p50缺乏的髓样细胞可以通过激发人体的免疫系统发挥作用,从而使一系列癌症治疗受益。研究合著者和儿科肿瘤学家艾伦·弗里德曼(Alan Friedman)说:“由我们测试的7种不同的癌症-前列腺癌、胰腺癌、脑癌、黑素瘤、结肠癌、肉瘤和神经母细胞瘤-在缺乏p50的小鼠中,其生长速度较慢。”
该研究发表在《Journal for ImmunoTherapy of Cancer》杂志上。