返回上一页  首页 | cnbeta报时: 09:15:49
获《柳叶刀》报道:这款中国公司开发的AI工具能更快诊断新冠病毒
发布日期:2020-03-01 09:31:30  稿源:Win10s.COM

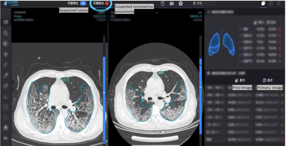
继加拿大疾病专家警报机构蓝点Bluedot的AI算法率先发出新型冠状病毒(Covid 19)预警之后,由北京初创公司推想科技(Infervision)开发的AI软件正在武汉帮助医生更快的进行诊断。

图片来自于 推想科技LinkedIn

据悉这款新冠病毒辅助筛查和疫情监测系统是该公司和华中科技大学同济医学院附属同济医院、武汉大学中南医院、深圳市第三人民医院联合研发,并于2月20日在世界权威医学杂志《柳叶刀》系列文章中受到关注

为了训练人工智能模型,公司使用NVIDIA V100 GPU分析了来自中国早期疫情的2000多幅CT图像。为了开发该软件,Infervision使用了NVIDIA Clara,这是用于AI驱动的医学成像和基因组学的应用程序框架。为了进行推断,这些模型采用了NVIDIA T4 GPU。

目前Infervision这套AI软件已经在中国超过34家医院部署,目前正在美国和欧洲市场进行评估。到目前为止,它已经帮助审查了32,000多个Covid 19潜在案例。基于AI的软件的主要优势在于,由于有症状的患者滞留在医院中,因此其快速诊断可以帮助快速对患者进行分类。该软件还可以很好地用于交叉比较和在多次检查中分析肺部发育。

Source: Infervision via Nvidia Developer News Center

查看网友评论   返回完整版观看

返回上一页  首页 | cnbeta报时: 09:15:49

文字版  标准版  电脑端

© 2003-2026