当地时间 2020 年 2 月 24 日,华中科技大学同济医学院附属协和医院放射科和武汉市金银潭医院放射科联合团队的论文 Radiological findings from 81 patients with COVID-19 pneumonia in Wuhan,China:a descriptive study(武汉 81 例新冠肺炎病例的影像学表现:一项描述性研究)发表于《柳叶刀》(The Lancet)子刊《柳叶刀·传染病》(The Lancet Infectious Diseases)。
而这篇论文也是首篇在知名期刊上发表的新冠肺炎大样本 CT 影像研究论文。
首篇新冠病例 CT 大样本论文
研究人员对上述两所医院的新冠肺炎患者(经下一代测序或 RT-PCR 确诊)做了连续胸部 CT 扫描,并对其影像学特征与分布进行了回顾性分析。
根据症状发作时间与第一次 CT 扫描之间的间隔,81 例于 2019 年 12 月 20 日-2020 年 1 月 23 日期间入院的患者共分为 4 组:第 1 组 15 例(亚临床患者)、第 2 组 21 例(≤ 1周)、第 3 组 30 例(1-2 周)、第 4 组 15 例(2-3 周)。

【81 例患者的基本特征及症状】
研究人员得到的具体数据主要如下:
所有患者平均病变肺段数为 10.5,第 1 组 2.8,第 2 组 11.1,第 3 组 13.0,第 4 组 12·1;
所有患者肺部异常表现主要为双侧(64 例,79%)、外周(44 例,54%)、边界不清(66 例,81%)、磨玻璃影(53 例,65%),主要累及右肺下叶(849 个节段中的 225 个,27%);
第 1、2 组出现磨玻璃影的患者较多:第 1 组肺部异常表现有单侧(9 例,60%)、多焦点(8 例,53%)、磨玻璃影(14 例,93%);第 2 组肺部异常表现有双侧(19 例,90%)、弥漫性(11 例,52%)、磨玻璃影(17 例,81%);第 3 组磨玻璃影 17 例(57%),第 4 组磨玻璃影 5 例(33%);
第 3、4 组出现实变和混合性病变的患者偏多:第 3 组 12 例(40%),第 4 组 8 例(53%)。

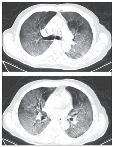
实际上,研究团队也着重关注了有既往病史的患者。下图是一名患有慢性肺病(结核病)、入院第 12 天因呼吸窘迫症去世的 60 岁男性患者的不同级别的 CT 影像。根据其发病第 8 天的 CT 影像,两肺可见广泛的磨玻璃影,几乎累及整个下叶、大部分上叶和右肺中叶,“白肺”(肺部显影呈一大片的白色状,一般是肺部被炎症所侵润的表现),并伴有空气支气管造影。

论文指出,新冠肺炎患者的胸部 CT 会显示肺浸润性病变,无症状感染者也会表现出胸部 CT 成像异常——在发病 1-3 周内,病变迅速从单侧、局灶性病变进展为双肺弥漫性磨玻璃影,后期合并实变。
可以看出,影像学检查结合临床、实验室检查将有助于新冠肺炎的早期诊断。
CT 告诉我们什么?
实际上,上述研究也受到了同行认可。
2 月 24 日当天,香港大学李嘉诚医学院放射科 Elaine Y P Lee 团队也在《柳叶刀·传染病》(The Lancet Infectious Diseases)发表了名为《新冠肺炎:CT 告诉我们什么?》的文章。
该文章肯定了上述团队的大样本 CT 研究,认为该研究为患者临床症状不同阶段 CT 影像的演变过程提供了支撑:
CT 是检测新冠肺炎的一种重要方法,即使在无症状患者中亦是如此。当核酸检测结果呈假阴性时,CT 检测显得尤其重要。
实际上有专家曾对 CT 影像结果的准确性提出过质疑,但不可否认的是,CT 对新冠肺炎早期诊断仍具有积极意义。