在通讯水平、科研水平远胜17年前的当下,这场‘武汉战役’我们必胜!正值农历新年,万家灯火下,对抗新型冠状病毒的战场却没有一丝松懈……面对这次疫情,学术界也以史上最快的速度加入了战场。
国际顶尖期刊《Lancet》(柳叶刀)以最快的速度建立了本次2019-nCoV的专栏,并进行了文章刊登。
图源:《柳叶刀》/本次新型冠状病毒肺炎专栏
在本次发布的第一批次文章中,北京中日友好医院曹彬及北京协和医学院王建伟作为共同通讯发表在了名为《武汉市2019年新型冠状病毒感染患者的临床特征》的文章,报告了本次新型流感病毒疫情的流行病学、临床特征、实验室检查数据和最终的临床结局。

图源:《柳叶刀》
管中窥豹,41例患者临床表现公开!
这篇文章纳入了截至2020年1月2日确诊为新型冠状病毒肺炎的41例患者,其中有13位本身就患有基础疾病(糖尿病8人、高血压6人、心血管疾病6人),并且最初确诊的患者中,大多为中老年人(中位年龄49.0岁,IQR 41·0–58·0),其中有超过一半的人(27人,66%)有过华南海鲜市场接触史。
如果说以上信息都是我们耳熟能详的。那么接下来的分析就比较难得了,因为文章还报告了41例患者的症状比例。
本次新型冠状病毒肺炎患者中,最常见的症状为发热,有多常见呢?41例患者中仅有1例没有出现发热,而咳嗽(31例)和乏力(18例)是另外的两个常见症状。而痰液产生(11例)、头痛(3例)、咯血(2例)、腹泻(1例)在患者中亦有看到,因此,非常见症状也值得临床医生注意。
此外,患者从首次发作到入院治疗的中位时间为7.0天(4.0-8.0),一半以上的患者(22例)在中位时间8.0天(IQR 5.0-13.0-1.0)的时间内进展为呼吸困难,在中位时间9.0天(8.0-14.0)进展为急性呼吸窘迫综合征(ARDS)。有13例患者在中位时间10.5天(8.0-17.0)被送入重症监护病房(ICU),截至投稿,已有6例死亡。

图源:《柳叶刀》/病情发展时间表
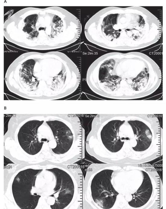
患者差异:轻、重症患者影像学和实验室表现不同
患者可能出现白细胞减少(低于4*109/L,10例)和淋巴细胞减少(低于1.0*109/L,26例)。而ICU患者在入院时D-二聚体水平和凝血酶原时间偏高(凝血酶原中位时间12.2s,中位D-二聚体水平为2.4mg/L),这或许能够帮助临床医生预测入院患者的病情进展。研究人员还提到:无论是轻症患者(未进入ICU)还是重症患者(最终进入ICU),其血清天冬氨酸转氨酶均可能升高。
肺部CT异常是本次新型冠状病毒肺炎最典型的影像学表现。在41例患者中,有40例出现双侧肺叶受累,重症患者肺部CT的典型表现为双侧多小叶和亚段实质性病变,轻症患者的代表性CT表现为双侧节段性毛玻璃样变。

A为ICU患者,B为非ICU患者/图源《柳叶刀》
研究者表示,由于目前临床资源有限,本次报告的病例数量较少,并且没有涵盖更多的年龄层,在之后的文章中,他们会结合更多病例进行解读。
抗击新型冠状病毒肺炎,这些药物或许有效
研究人员在文章中提到:鉴于SARS冠状病毒可诱导大量细胞因子,本次的新型冠状病毒患者也表现出细胞因子的增加,且重症患者的细胞因子水平更高。但在实际临床中,应用糖皮质激素没有实际的临床获益。根据既往应对SARS和MERS的经验,抗病毒治疗对冠状病毒感染性肺炎有效。
抗病毒治疗:
1月23日,之前被确诊感染新型冠状病毒的北京大学第一医院呼吸和危重症医学科主任王广发接受媒体采访时表示,艾滋病治疗药物洛匹那韦/利托那韦片对他有效,服用后只用了一天体温就好转。
国家卫生健康委颁布的《新型冠状病毒感染的肺炎诊疗方案》试行版本(目前已更新至第三版)中也指出洛匹那韦/利托那韦片可试用于新型冠状病毒的治疗。
干扰素治疗:
《新型冠状病毒感染的肺炎诊疗方案(试行第三版)》中指出,I型干扰素包括IFN-α雾化吸入可作为抗新型冠状病毒治疗措施,用以提高患者呼吸道粘膜的病毒清除效果。
Remdesivir:
(RDV,GS-5734)是一款新型核苷类似物抗病毒药,从目前的研究数据看,RDV可能是最具潜力的抗新型冠状病毒药物。不过关于RDV在人体内的安全性和有效性还没有相关研究。
亲环素(Cyclophilin)抑制剂:
有研究表明SARS-CoV的核衣壳蛋白会与人类细胞内的 Cyclophilin A紧密的结合,从而为其感染和复制提供帮助。2011年瑞士和美国科学家报道环孢霉素(CsA)能抑制冠状病毒,同年,德国和英国科学家证明了宿主的Cyclophilins是冠状病毒的可能的药物。
其他潜在有效药物:
其他核苷类似物,例如利巴韦林和法匹拉韦,体外具有广谱抗病毒作用,理论上具有一定的抗冠状病毒活性。但由于冠状病毒的外切核糖核酸酶具有RNA校对功能,利巴韦林等药物阻止病毒核酸复制的作用会被大大减弱。用于艾滋病治疗的核苷类逆转录病毒抑制剂,比如替诺福韦、拉米夫定等,均具有抑制RNA合成的作用,是否能够发挥抗冠状病毒治疗效果,值得观察。
写在文末:
柳叶刀的专栏和陆续发表的文章和社论在提醒我们,即使不在一线,临床医生和学术工作者们,以然和武汉站在一起。
网络上总有人说:“这次疫情赶上了春运,一定比SARS更加严峻”,看到这些研究成果的发表,看到更多人前赴后继地加入这场战役,我只想说:“在通讯水平、科研水平远胜17年前的当下,‘武汉战役’我们必胜!”