谁能想到,肚子上的脂肪还会影响脑子!?来自美国华盛顿大学等近10个科研机构的一项最新研究指出:厚厚的腹部脂肪和大脑体积减小有关。并且肚子越大,大脑萎缩可能越严重,还会增加痴呆风险。这种情况在女性身上更为严重。

目前,这一研究已发表于老年医学领域期刊《衰老与疾病》(Aging and Disease)。
(很好,减肥动力又增加了)
研究人员究竟是如何得出这一结论的?
对10001名健康人做核磁共振
为了探究腹部脂肪(内脏脂肪和皮下脂肪)与大脑结构变化的关系,来自美国华盛顿大学的研究人员对10001名健康参与者进行了全身核磁共振检查(MRI)。
这些参与者年龄在18-90岁之间,平均52.9岁。
接下来,研究人员用深度学习模型,自动在MRI图像中识别和分割出人体内脏器官的轮廓,以及身体脂肪组织的位置,同时计算出每个人内脏脂肪和皮下脂肪的体积。
医学上判定肥胖的标准是看体重指数BMI(体重÷身高^2)。
经过计算,研究人员记录下,超重(BMI≥25)人群的平均内脏脂肪体积为3417.81±514.88ml;肥胖(BMI≥30)人群的平均内脏脂肪体积为5355.24±505.04ml。
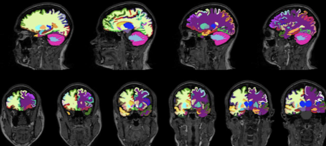
脑区体积也采用了深度学习方法测量,使用FastSurfer卷积神经网络,分割了96个不同的大脑区域。
△脑体积分割结果
考虑到不同参与者头部大小的差异,研究人员还使用了一个单独的深度学习模型来分割颅内容积。
他们手动标注了60名参与者的颅内隔室(头颅内的一系列脑室),然后用这些数据训练医学图像分析深度学习框架nnUNet,用于生成颅内掩膜(覆盖在颅骨内部,包围和保护中枢神经系统的三层薄膜)。
一系列数据有了,研究人员接着用线性回归、逻辑回归等统计学方法,分析了每个人的腹部脂肪体积与其大脑不同部位体积之间的量化关系。
最后得出了这样的结论:
腹部内脏和皮下脂肪含量越高,整体脑组织的总灰质、总白质体积越小。
(灰质是大脑中灰色神经细胞体和神经元的集合,与思维、感知和运动控制等密切相关;白质由神经元纤维束组成,负责传递信息。)
内脏脂肪与总灰质体积的相关系数r=-0.44,p<0.001;内脏脂肪与总白质体积的相关系数r=-0.41,p<0.001。
(r取值范围为[-1,1],其中等于-1表示完全负相关,等于1表示完全正相关,0表示无关;p<0.001时,意味着观察到的结果在统计学上非常显著。)
△内脏脂肪增加与灰质(左)和白质(右)体积减少之间的关系
具体到脑叶,额叶、颞叶、顶叶和枕叶都会随着腹部脂肪增多而萎缩,其中颞叶关系更显著,相关系数r=-0.44。小脑体积同样受到影响,r=-0.4。
此外见下图,皮下脂肪(Sfat)与大脑体积减小的关系比内脏脂肪(Vfat)要更强一些,beta值更高。
按性别分析后,他们还发现女性参与者的大脑体积与腹部脂肪的关系更显著,相关系数r分别为-0.55、-0.52。
△女性更显著
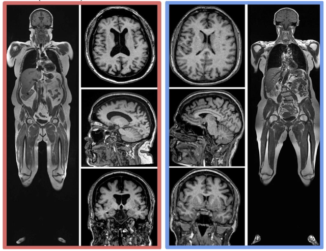
来看看两位61岁女性的核磁共振成像,左边人的内脏脂肪和皮下脂肪含量均较高,右边这位属于正常水平。可以明显看出,左边人的脑体积要比右边人的小,具体表现为脑室扩大、沟回增宽。
△高体脂脑体积缩小示例
研究人员又进一步分析了与早期阿尔茨海默病理相关的脑区,得出了类似的结论:
海马体、后扣带回、楔前叶体积随内脏脂肪增加而缩小,女性更显著。
通过逻辑回归分析还能发现,不同年龄段人群总灰质和白质萎缩的风险不同。
对于20-39岁人群来说,腹部脂肪高的人总灰质萎缩的概率是正常脂肪水平人的5.9倍;40-59岁的概率是5.4倍;60-80岁的概率是5.1倍。
再来看白质萎缩,20-39岁人群,腹部脂肪高的人总白质萎缩的概率是正常脂肪水平人的3.78倍;40-59岁的概率是4.4倍;60-80岁概率是5.1倍。
过胖还可能会导致认知衰退
其实,早前已有多项研究表示肚子上的脂肪会影响大脑。
比如,下面这项研究发现肥胖和阿尔茨海默症会以相似的方式导致脑灰质萎缩。
《JAMA Network Open》也曾发表一项研究指出,内脏脂肪含量与认知障碍间存在显著正相关性。
《柳叶刀》子刊最近也发表了一项研究,结论听起来更虾仁:
内脏脂肪每增加0.27kg,认知年龄衰老0.7岁。
这,简直双倍扎心有木有。












