研究人员发现大脑中的杏仁核与癫痫发作后呼吸衰竭之间存在联系,这为研究癫痫猝死这一导致癫痫患者死亡的重要原因提供了线索。由美国国立卫生研究院(NIH)支持的一个研究小组确定了大脑的一个部位,它可能与药物无法控制的严重癫痫患者癫痫发作后呼吸衰竭有关。这种情况被称为癫痫意外猝死(SUDEP),是导致这类患者死亡的主要原因。
爱荷华大学爱荷华市分校的研究人员在《JCI洞察》上发表的这一新发现可能对理解癫痫猝死起到至关重要的作用,因为癫痫猝死的原因还没有得到很好的解释。
人们普遍认为,大多数 SUDEP 病例都是由于癫痫发作结束后出现的呼吸中断,即发作后呼吸暂停。研究发现,发作后呼吸暂停的患者会失去"空气饥饿感"--即呼吸的原始冲动--或警报感,这表明在呼吸暂停发生时,大脑可能无法检测到血液中二氧化碳(CO2)水平的升高并做出反应。

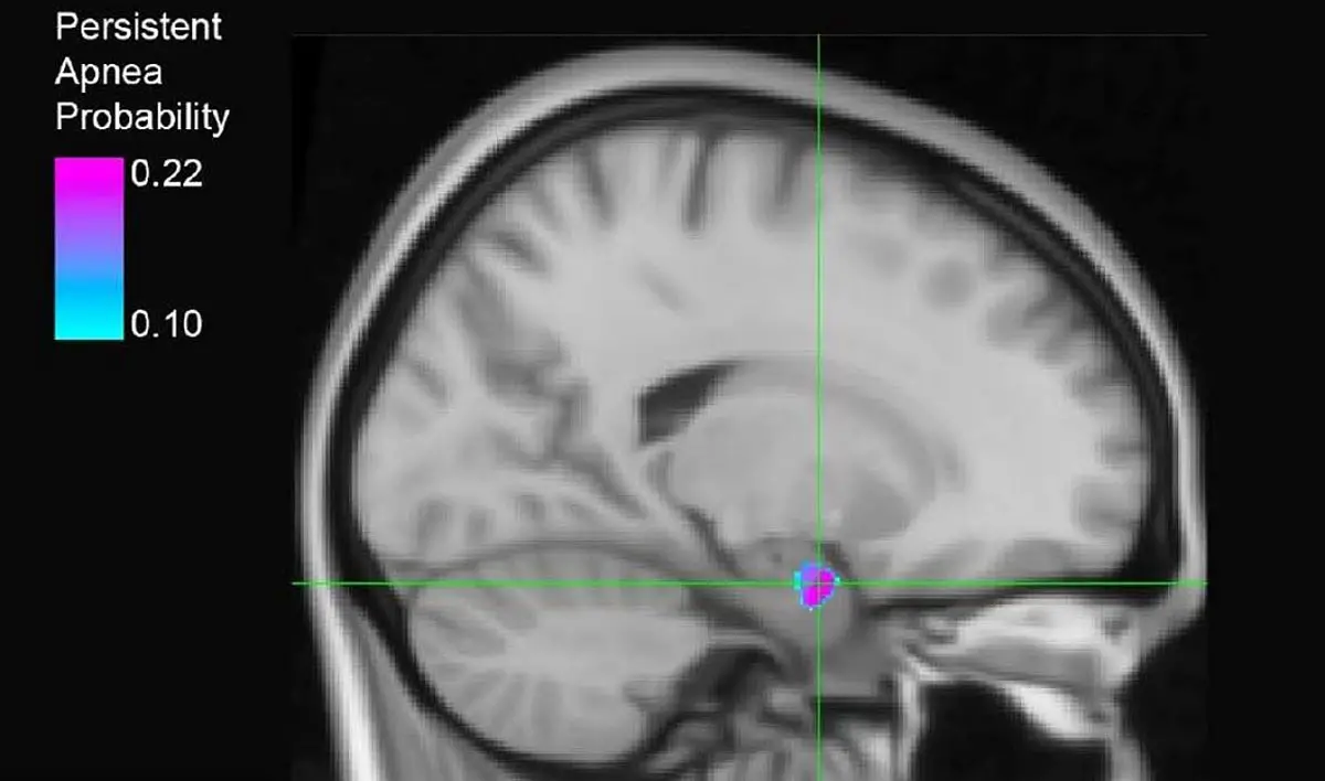
研究人员在杏仁核中发现了一个对癫痫发作后呼吸衰竭至关重要的部位。紫色和蓝色区域代表了与持续性呼吸暂停有关的区域的概率图,该图基于 20 名未受控制的癫痫患者的数据。资料来源:爱荷华大学 Dlouhy 实验室
为了对此进行研究,研究人员招募了12名成人和8名儿童癫痫患者,这些患者无法通过药物控制癫痫发作,他们正在接受颅内脑电图(iEEG)检查,试图控制癫痫发作。利用直接电刺激,研究小组在医疗监督下诱导参与者癫痫发作,以检查前脑对呼吸和呼吸暂停的控制。他们发现,源于杏仁核的癫痫发作会导致发作后呼吸暂停,而杏仁核是一个主要参与处理情绪和恐惧的脑区,他们还确定了参与长时间呼吸减弱的杏仁核亚区。20名参与者中只有5人出现发作后呼吸暂停,这表明一些癫痫发作不受控制的人可能更容易出现这种情况。
随后,科学家们采用电刺激与功能磁共振成像相结合的技术,确定了杏仁核部位与对感知血液中二氧化碳含量变化和控制呼吸至关重要的脑干区域之间的新连接。综合来看,研究结果表明,杏仁核亚区的癫痫发作活动可以在癫痫发作后长时间抑制呼吸和对空气的饥饿感。这很可能是通过与脑干和其他参与感知身体信号的大脑部位的连接来控制的。要证实杏仁核在呼吸抑制中的作用及其与 SUDEP 的关系,还需要进行更多的研究。
这些发现进一步加深了人们对 SUDEP 的了解,可能有助于发现预防性治疗方法和识别高危人群。这项研究得到了美国国立卫生研究院(NIH)下属的国家神经疾病和中风研究所(NINDS)的部分资助。