最近发表在《放射学》杂志上的一项研究发现,放射科医生比人工智能工具更擅长从 2000 多张胸部 X 光片中识别或排除三种常见肺部疾病。根据《放射学》杂志上的一项研究,放射科医生在从胸部 X 光片中准确检测出三种常见肺部疾病方面超过了人工智能。人工智能工具虽然灵敏,但产生了更多的误判,使其在自主诊断方面不太可靠,但在第二意见方面却很有用。
北美放射学会(RSNA)期刊《放射学》9月26日发表的一项研究显示,在对2000多张胸部X光片进行的研究中,放射科医生在准确识别三种常见肺部疾病的存在与否方面优于人工智能。
放射成像的作用
首席研究员、丹麦哥本哈根 Herlev 和 Gentofte 医院放射科住院医生兼博士研究员、医学博士 Louis L. Plesner 说:"胸透是一种常见的诊断工具,但要正确解读检查结果需要大量的培训和经验。"
虽然市面上已有经 FDA 批准的人工智能工具来协助放射科医生,但将基于深度学习的人工智能工具用于放射诊断的临床应用仍处于起步阶段。Plesner 博士说:"虽然越来越多的人工智能工具被批准用于放射科,但在实际临床场景中进一步测试这些工具的需求尚未得到满足。人工智能工具可以协助放射科医生解读胸部X光片,但其实际诊断准确性仍不明确。"

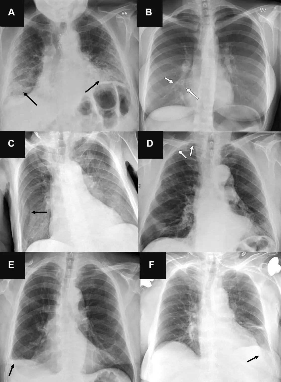
(A)71 岁男性患者因呼吸困难进展而接受检查的后前位胸部X 光片显示双侧纤维化(箭头 B)31 岁女性患者因咳嗽一个月而转诊接受放射检查的后前位胸部X 光片显示右心边界处有细微的气隙不清晰(箭头)。(C) 一名 78 岁男性患者在置入中心静脉导管后转诊的前胸X光片显示右侧皮肤皱褶(箭头)。(D)为排除气胸而转诊的一名 78 岁男性患者的后前方胸部 X 光片显示右侧顶部有一个非常细微的气胸(箭头)。(E)一名 72 岁男性患者的后正位胸部X光片显示肋膈角慢性变圆(箭头),该患者无特殊原因转诊进行放射检查。(F) 因怀疑充血和/或肺炎而转诊的 76 岁女性患者的前胸X光片显示左侧胸腔有非常微小的积液(箭头),所有三种能分析前胸X光片胸腔积液的人工智能工具都漏诊了。资料来源:北美放射学会
研究结果
Plesner 博士和研究小组比较了四种市售人工智能工具和 72 位放射科医生在 2020 年对丹麦四家医院两年内连续拍摄的 2040 张成人胸部 X 光片进行解读时的表现。患者群体的中位年龄为 72 岁。在胸部 X 光片样本中,669 张(32.8%)至少有一个目标发现。
胸部 X 光片针对三种常见发现进行了评估:气室疾病(由肺炎或肺水肿等引起的胸部 X 光片形态)、气胸(肺部塌陷)和胸腔积液(肺部周围积水)。
人工智能工具对气道疾病的灵敏度为 72% 至 91%,对气胸的灵敏度为 63% 至 90%,对胸腔积液的灵敏度为 62% 至 95%。
他说:"在检测胸部 X 光片上的气腔疾病、气胸和胸腔积液方面,人工智能工具显示出与放射科医生相当的中高灵敏度。然而,与放射科医生相比,它们产生了更多的假阳性结果(在不存在疾病的情况下预测出疾病),而且当出现多个发现和较小的目标时,它们的性能会下降。"
预测值比较
对于气胸,人工智能系统的阳性预测值--筛查呈阳性的患者真正患病的概率--在56%到86%之间,而放射科医生的预测值为96%。
"人工智能在识别气胸疾病方面表现最差,阳性预测值在 40% 到 50% 之间,"Plesner 博士说。"在这一疑难老年患者样本中,人工智能10次中有5到6次预测出了不存在的气隙疾病。你不可能让一个人工智能系统以这样的速度独立工作"。
放射科医生的目标是在发现和排除疾病的能力之间取得平衡,既要避免重大疾病被忽视,又要避免过度诊断。"人工智能系统在发现疾病方面似乎非常出色,但在确定没有疾病方面却不如放射科医生,尤其是在胸部X光片比较复杂的情况下,"他说。"过多的假阳性诊断会导致不必要的成像、辐射暴露和成本增加"。
大多数研究通常倾向于评估人工智能确定单一疾病存在与否的能力,这比现实生活中病人往往患有多种疾病的情况要容易得多。在之前许多声称人工智能优于放射科医生的研究中,放射科医生只查看了图像,而无法了解患者的临床病史和之前的成像研究。在日常实践中,放射科医生对成像检查的解释是这三个数据点的综合。研究人员推测,如果下一代人工智能工具也能进行这种综合,其功能可能会变得更加强大,但目前还不存在这样的系统。
"我们的研究表明,在病人种类繁多的真实场景中,放射科医生的表现普遍优于人工智能,"他说。"虽然人工智能系统能有效识别正常的胸部X光片,但人工智能不应自主进行诊断。"
Plesner 博士指出,这些人工智能工具可以通过对胸部 X 光片进行二次观察,增强放射科医生对其诊断的信心。