被称为检查点阻断抑制剂的抗癌药物已被证明对一些癌症患者有效。这些药物通过抑制人体的T细胞反应,刺激这些免疫细胞消灭肿瘤。一些研究表明,这些药物对肿瘤中存在大量突变蛋白质的患者效果更好,科学家认为这是因为这些蛋白质为 T 细胞提供了大量攻击目标。然而,对于至少50%的肿瘤突变负荷较高的患者来说,检查点阻断抑制剂根本不起作用。

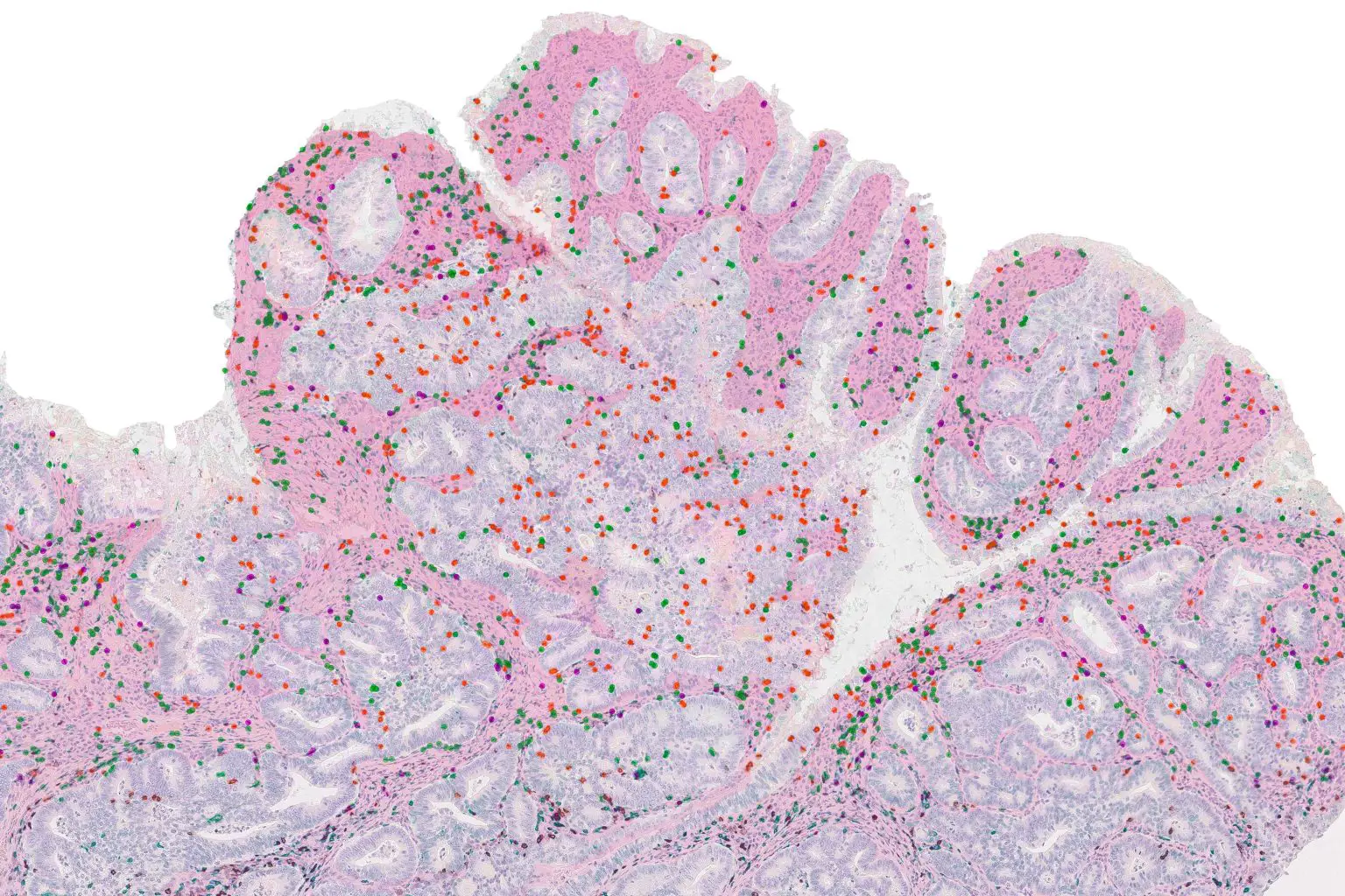
在这种因突变而导致 DNA 错配修复高度缺陷的结肠肿瘤中,T 细胞(标记为黑色、绿色和红色)主要积聚在支持组织(粉红色区域)中,只有极少数渗入肿瘤细胞(被支持组织包围的岛屿)。图片来源:研究人员提供
麻省理工学院的一项新研究揭示了一种可能的解释。在一项对小鼠的研究中,研究人员发现,测量肿瘤内突变的多样性比测量突变的总体数量更能准确预测治疗是否会成功。
如果在临床试验中得到验证,这一信息将有助于医生更好地确定哪些患者将从检查点阻断抑制剂中获益。
"免疫检查点疗法虽然在适当的情况下非常有效,但并非对所有癌症患者都有效。这项研究清楚地表明了癌症遗传异质性在决定这些疗法有效性方面的作用,"麻省理工学院科赫癌症研究所(Koch Institute for Cancer Research)成员、大卫-科赫生物学教授泰勒-杰克斯(Tyler Jacks)说。
Jacks、Jacks实验室的前麻省理工学院博士后、现冷泉港实验室助理教授Peter Westcott和EMBL欧洲生物信息研究所(EMBL-EBI)研究小组组长Isidro Cortes-Ciriano是这篇论文的资深作者,论文于9月14日发表在《自然-遗传学》(Nature Genetics)杂志上。
突变的多样性
在所有类型的癌症中,有一小部分肿瘤具有所谓的高肿瘤突变负荷(TMB),这意味着它们的每个细胞中都有非常多的突变。这些肿瘤中有一部分存在 DNA 修复缺陷,最常见的是 DNA 错配修复。
由于这些肿瘤有如此多的突变蛋白,它们被认为是免疫疗法治疗的理想候选者,因为它们为 T 细胞提供了大量潜在的攻击目标。在过去几年中,FDA 批准了一种名为 pembrolizumab 的检查点阻断抑制剂,这种抑制剂通过阻断一种名为 PD-1 的蛋白质来激活 T 细胞,用于治疗几种 TMB 较高的肿瘤。
然而,随后对接受这种药物治疗的患者进行的研究发现,尽管他们的肿瘤具有较高的突变负荷,但其中一半以上的患者反应不佳或仅表现出短暂的反应。麻省理工学院的研究小组设计了小鼠模型,密切模拟高突变负荷肿瘤的发展过程,从而开始探索为什么有些患者的反应比其他患者好。
这些小鼠模型携带有驱动结肠癌和肺癌发展的基因突变,以及一种在这些肿瘤开始发展时会关闭 DNA 错配修复系统的突变。这导致肿瘤产生许多额外的突变。当研究人员用检查点阻断抑制剂治疗这些小鼠时,他们惊讶地发现,这些小鼠对治疗都没有很好的反应。
"我们验证了我们正在非常有效地使DNA修复途径失活,从而导致大量突变。"Westcott说:"这些肿瘤看起来就像人类癌症一样,但它们并没有更多地被T细胞浸润,也没有对免疫疗法产生反应。"
肿瘤内异质性
研究人员发现,缺乏反应似乎是一种称为瘤内异质性的现象造成的。这意味着,虽然肿瘤有很多突变,但肿瘤中每个细胞的突变往往与其他大多数细胞不同。因此,每种癌症突变都是"亚克隆"的,即在少数细胞中表达。(克隆"突变是指在所有细胞中都有表达)。
在进一步的实验中,研究人员探索了改变小鼠肺部肿瘤异质性的情况。他们发现,在具有克隆突变的肿瘤中,检查点阻断抑制剂非常有效。然而,当他们通过混合具有不同突变的肿瘤细胞来增加异质性时,他们发现治疗效果变差了。
Westcott说:"这向我们表明,瘤内异质性实际上干扰了免疫反应,只有在克隆性肿瘤中,才能真正获得强有力的免疫检查点阻断反应。"
未能激活
研究人员说,之所以会出现这种微弱的T细胞反应,似乎是因为T细胞根本没有看到足够多的特定癌蛋白或抗原就被激活了。当研究人员给小鼠植入含有亚克隆水平蛋白质的肿瘤时,这些蛋白质通常会诱发强烈的免疫反应,但T细胞却无法变得足够强大来攻击肿瘤。
Westcott说:"你可以拥有这些具有强大免疫原性的肿瘤细胞,它们本应导致深刻的T细胞反应,但在这种低克隆水平下,它们就完全隐身了,免疫系统无法识别它们。T细胞识别的抗原数量不足,因此它们的启动不足,无法获得杀死肿瘤细胞的能力。"
为了弄清这些发现是否可以推广到人类患者身上,研究人员分析了两项小型临床试验的数据,这些试验的对象是接受过检查点阻断抑制剂治疗的结直肠癌或胃癌患者。在分析了患者肿瘤的序列后,他们发现,肿瘤比较均匀的患者对治疗的反应更好。
结论与启示
Cortes-Ciriano说:"我们对癌症的认识在不断提高,这也为患者带来了更好的治疗效果。得益于先进的研究和临床研究,癌症确诊后的生存率在过去 20 年中有了显著提高。我们知道,每位患者的癌症都不尽相同,需要采取量身定制的方法。个性化医疗必须考虑到新的研究,这些研究正在帮助我们理解为什么癌症治疗对某些患者有效,而不是对所有患者有效"。
研究人员说,这些发现还表明,用阻断DNA错配修复途径的药物治疗患者,希望产生更多T细胞可以靶向的突变,可能于事无补,反而可能有害。其中一种药物目前正在临床试验中。
"如果试图使现有的癌症发生突变,在原发部位已经有许多癌细胞,而其他癌细胞可能已经扩散到全身,那么你就会创造出一个超级异质的癌症基因组集合。我们的研究结果表明,由于瘤内异质性很高,T细胞的反应很混乱,对免疫检查点疗法完全没有反应。"