新研究展示了一种工程化合物在防止太空旅行小鼠骨质流失方面的功效。这一突破可能为宇航员和地球上的骨质疏松症患者提供解决方案。今天(9 月 18 日)发表在《自然》合作伙伴期刊《npj 微重力》上的一项新研究发现,给国际空间站(ISS)上的小鼠服用一种工程化合物在很大程度上防止了与太空时间相关的骨质流失。
这项研究由加利福尼亚大学洛杉矶分校(UCLA)和马萨诸塞州剑桥市福赛思研究所(Forsyth Institute)的教授组成的跨学科团队领导,它强调了一种很有前景的疗法,可以缓解因长期太空旅行造成的骨质极度流失以及地球上的肌肉骨骼退化。

长期以来,微重力引起的骨质流失一直是长期太空任务的一个重要问题。微重力导致的机械负荷减少引起的骨质流失率是地球上的 12 倍。低地球轨道上的宇航员每月的骨质流失率可能高达 1%,这将危及宇航员的骨骼健康,并增加他们在长期太空飞行期间和以后的生活中发生骨折的风险。
目前,缓解骨质流失的策略是依靠运动引起的机械负荷来促进骨质形成,但对于在微重力环境中长达六个月的乘员来说,这种策略远非完美。运动并不总能防止骨质流失,会占用乘员宝贵的时间,而且可能是某些类型损伤的禁忌症。

这项新研究调查了全身给药NELL样分子-1(NELL-1)是否能减少微重力引起的骨质流失。这项研究由加州大学洛杉矶分校大卫-格芬医学院整形外科副主任、外科和骨外科教授、医学博士 Chia Soo 领导。NELL-1由福塞斯研究所医学博士Kang Ting发现,它对骨骼发育和骨密度维持至关重要。丁教授还领导了多项研究,表明局部给药 NELL-1 可以再生骨骼和软骨等肌肉骨骼组织。
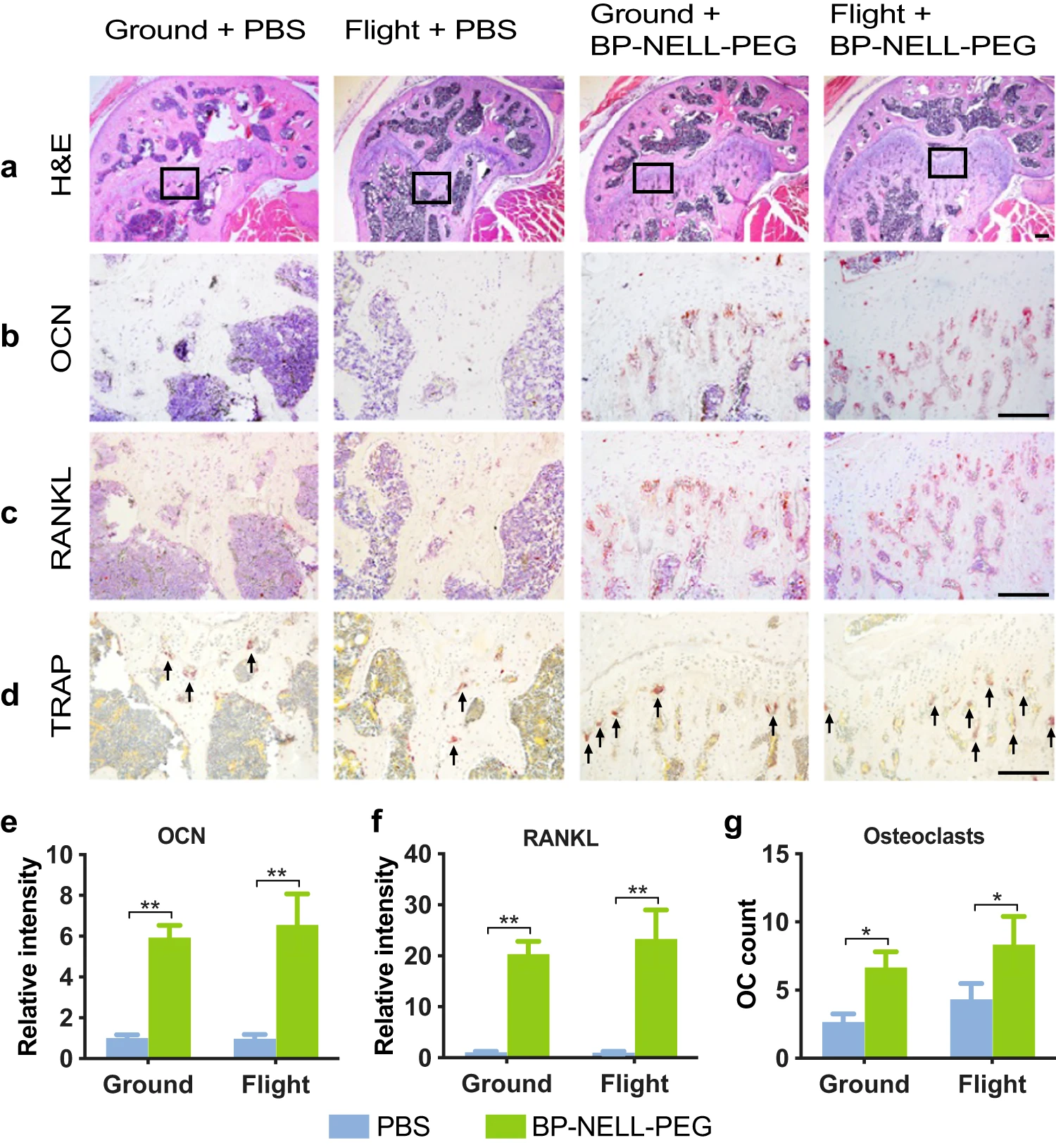
在国际空间站上进行NELL-1的系统给药要求研究小组尽量减少注射次数。福塞斯研究所的吴本(Ben Wu)博士和张玉龙(Yulong Zhang)博士通过将NELL-1分子的半衰期从5.5小时延长到15.5小时而不丧失生物活性,增强了NELL-1的治疗潜力,并通过生物共轭惰性双膦酸盐(BP)创造出一种"智能"BP-NELL-PEG分子,这种分子能更有针对性地靶向骨组织,而不会产生BP常见的有害影响。

随后,Soo 和 Ting 团队对改进后的分子进行了广泛评估,以确定 BP-NELL-PEG 在地球上的有效性和安全性。他们发现,BP-NELL-PEG 对骨组织具有卓越的特异性,而且不会造成明显的不良影响。
为了确定BP-NELL-PEG在实际太空条件下的实用性,研究人员与太空科学促进中心(CASIS)和美国国家航空航天局(NASA)艾姆斯分局合作,为SpaceX CRS-11国际空间站任务做了大量准备工作,宇航员佩吉-惠特森(Peggy Whitson)博士和杰克-D-费舍尔(Jack D. Fisher)硕士在国际空间站进行了研究。 一半的国际空间站小鼠暴露在微重力环境("TERM 飞行")中长达 9 周,以模拟长时间太空旅行的挑战,而其余的小鼠则在发射后 4.5 周乘飞机返回地球,这是美国历史上首次小鼠活体动物返回("LAR 飞行")。TERM组和LAR飞行组都接受了BP-NELL-PEG或磷酸盐缓冲盐水(PBS)对照组的治疗。肯尼迪航天中心还留有一批同等数量的小鼠,作为正常地球重力("地面")对照组,同样接受 BP-NELL-PEG 或 PBS 治疗。

经 BP-NELL-PEG 处理的飞行小鼠和地面小鼠的骨形成均显著增加。在太空和地球上接受治疗的小鼠对健康没有明显的不良影响。
"我们的研究结果为未来的太空探索带来了巨大的希望,特别是对于涉及在微重力环境中长期停留的任务,"主要通讯作者 Chia Soo 说。"如果人体研究证实了这一点,BP-NELL-PEG 将成为对抗骨质流失和肌肉骨骼退化的有效工具,尤其是在因受伤或其他丧失能力的因素而无法进行传统阻力训练的情况下。"

共同首席研究员本-吴(Ben Wu)说:"这种生物工程策略在地球上也能产生重要的益处,为患有极度骨质疏松症和其他骨骼相关疾病的患者提供一种潜在的疗法。"
"下一步,加州大学洛杉矶分校的项目科学家、医学博士、牙科博士、理学硕士 Pin Ha 将监督对活体动物返回数据的分析。我们希望这将为如何帮助未来的宇航员从更长时间的太空任务中恢复过来提供一些启示。"
