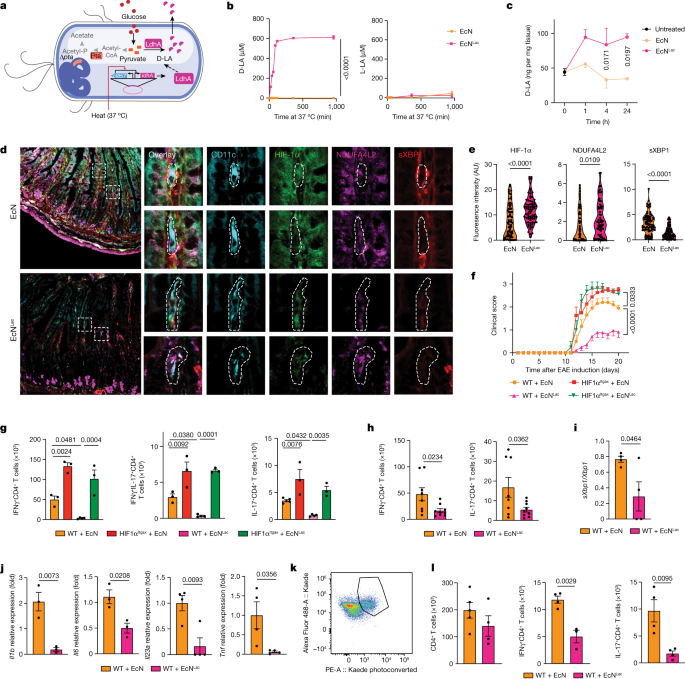
研究人员开发出了一种基因工程益生菌,这种益生菌可针对大脑中的自身免疫,而自身免疫是导致多发性硬化症等疾病的关键因素。这种益生菌能产生乳酸来调节免疫反应,从而减轻小鼠模型的脑部炎症,而且副作用比标准疗法更小。

布里格姆医院的研究人员正在开发一种新方法,通过利用工程细菌来提高治疗的安全性和有效性,从而解决大脑中的自身免疫问题。布里格姆妇女医院是麻省总布里格姆医疗系统的创始成员之一,该医院的研究人员开发了一种益生菌,旨在抑制大脑中的自身免疫反应。这些自身免疫反应是免疫系统针对中枢神经系统细胞的反应,是包括多发性硬化症在内的多种疾病的核心所在。
在一项新的研究中,研究人员利用这些疾病的临床前模型证明了这种疗法的潜力,发现与标准疗法相比,这种技术提供了一种更精确的针对脑部炎症的方法,同时减少了负面副作用。相关成果发表在《自然》杂志上。
第一作者、布里格姆妇女医院安-罗姆尼神经疾病中心的弗朗西斯科-金塔纳(Francisco Quintana)博士说:"工程益生菌可以彻底改变我们治疗慢性疾病的方式。服药后,药物在血液中的浓度会在首次服药后达到峰值,但随后浓度会下降。然而,如果我们能利用活体微生物在体内生产药物,它们就能在需要时不断生产活性化合物,这对我们考虑需要持续治疗的终身疾病至关重要。"
自身免疫性疾病影响着大约 5%-8% 的美国人口。尽管这些疾病普遍存在,但大多数疾病的治疗方案都很有限。影响大脑的自身免疫性疾病,如多发性硬化症,由于其发病部位,治疗起来尤其具有挑战性--由于血脑屏障(一种将大脑与循环系统隔开的保护机制)的存在,许多药物疗法无法有效进入大脑。

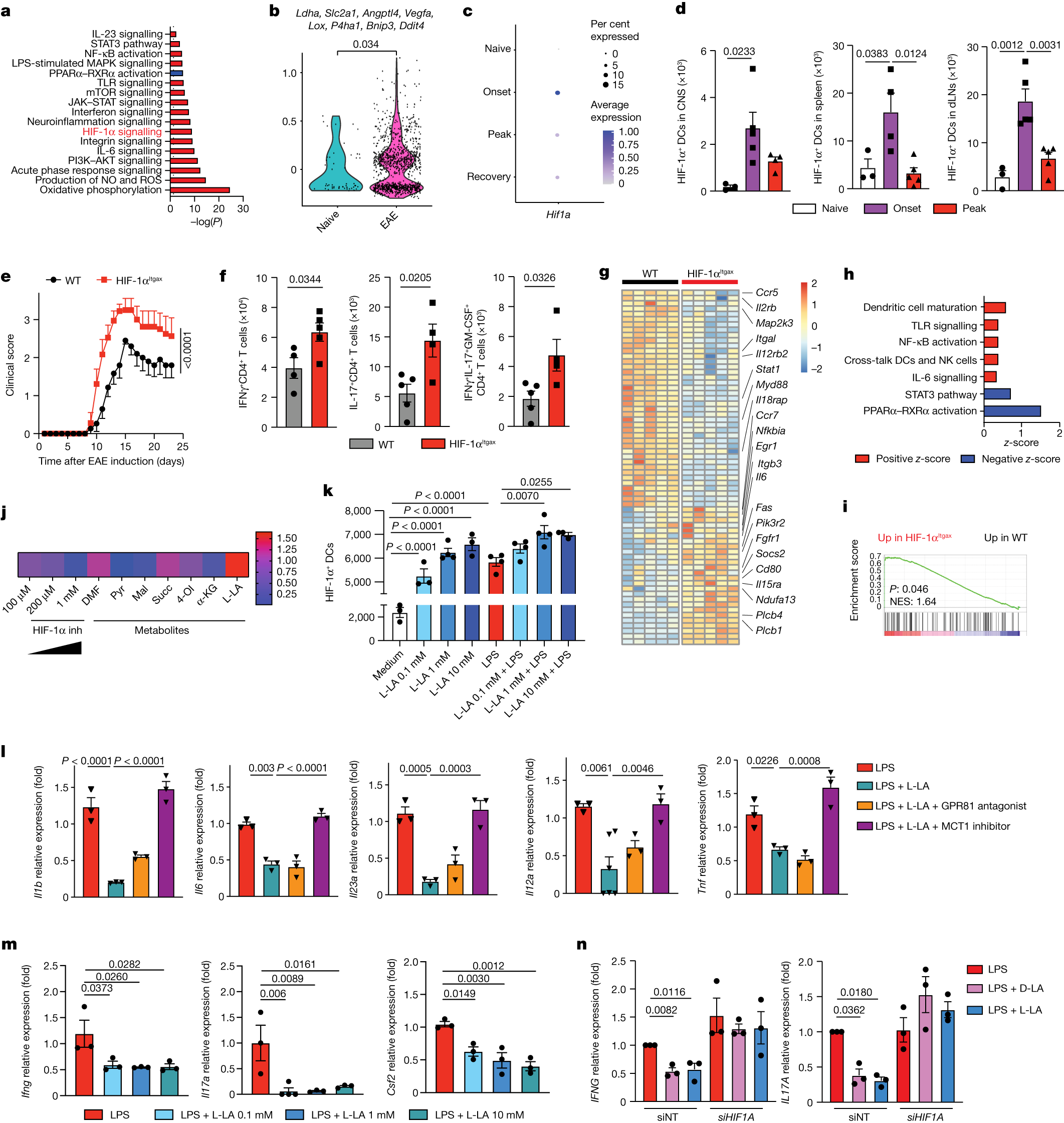
为了寻找治疗自身免疫性疾病的新方法,研究人员对树突状细胞进行了研究,这是一种在胃肠道和大脑周围空间中大量存在的免疫细胞。这种细胞有助于控制免疫系统的其他部分,但科学家还不知道它们在自身免疫性疾病中的作用。通过分析小鼠中枢神经系统中的树突状细胞,他们确定了树突状细胞用于阻止其他免疫细胞攻击机体的生化途径。
昆塔纳说:"我们发现的机制就像是免疫系统的制动器。在我们大多数人身上,它是被激活的,但在自身免疫性疾病患者身上,这个制动系统出现了问题,这意味着人体没有办法保护自己不受自身免疫系统的攻击。"
研究人员发现,这种生化制动系统可以通过乳酸激活,乳酸是一种参与许多新陈代谢过程的分子。研究人员随后通过基因工程改造益生菌,使其产生乳酸。
"益生菌并不是什么新鲜事物--我们都见过它们作为补充剂出售,并作为一种促进健康的方式进行营销,"金塔纳说。"通过利用合成生物学让益生菌产生与疾病相关的特定化合物,我们可以将益生菌的益处发挥到极致。"
他们在患有与多发性硬化症十分相似的疾病的小鼠身上测试了他们的益生菌,结果发现,尽管益生菌生活在肠道中,但它们能够减轻疾病对大脑的影响。他们在小鼠的血液中没有发现这种细菌,这表明他们观察到的效果是肠道细胞和大脑细胞之间生化信号传递的结果。
"近几十年来,我们已经了解到肠道微生物对中枢神经系统有重大影响,"金塔纳说。"我们在这项研究中关注多发性硬化症的原因之一,就是要确定我们是否能利用这种效应来治疗大脑的自身免疫性疾病。结果表明我们可以。"
虽然目前的研究只考察了益生菌在小鼠体内的作用,但研究人员乐观地认为,这种方法可以很容易地应用于临床,因为他们用来制造益生菌的菌株已经在人体中进行了测试。研究人员还在努力修改他们的方法,以治疗影响身体其他部位的自身免疫性疾病,特别是炎症性肠综合征等肠道疾病。
昆塔纳及其同事正与麻省总医院布里格姆风险投资公司(Mass General Brigham Ventures)合作成立一家公司。作为世界公认的研究和创新领域的领导者,麻省总医院布里格姆分院的研究发现已经促成了数百家新公司的成立,并在马萨诸塞州、全美乃至全球范围内推动了科学创新和经济增长。这些公司使世界各地的患者受益于麻省总医院的发现。
利用活细胞作为体内药物来源的能力具有巨大的潜力,可以提供更加个性化和精确的疗法。如果这些生活在肠道中的微生物足以影响大脑中的炎症,我们相信我们也能在其他地方利用它们的力量。