研究人员发现了世界上首例新的人类寄生虫感染病例,他们从一名澳大利亚妇女的大脑中拉出了一条通常会在地毯蟒身上寄生的活蛔虫。他们说,这一病例凸显了由病原体从动物传染给人类的人畜共患病所带来的风险。
澳大利亚国立大学(ANU)和堪培拉医院的研究人员说,这名 64 岁的妇女是从附近一个有地毯蟒栖息的湖中采集类似菠菜的本地植物 Warrigal greens 后感染了 Ophidascaris robertsi 蛔虫。她收集了这种植物并将其用于烹饪。
Robertsi蛔虫通常生活在地毯蟒的食道和胃中,并通过蛇的粪便产卵。尽管没有与蛇直接接触,但人们认为这名妇女是直接感染了寄生虫,可能是由于接触了植物或无意中食用了虫卵。
这项研究的通讯作者桑贾亚-塞纳纳亚克(Sanjaya Senanayake)说:"这是世界上首次描述的人类感染蛇寄生虫的病例。据我们所知,这也是第一例涉及哺乳动物大脑的病例,无论是人类还是其他物种。"
这名妇女因腹痛、腹泻、持续干咳和盗汗三周后,于 2021 年 1 月住进了当地一家医院。

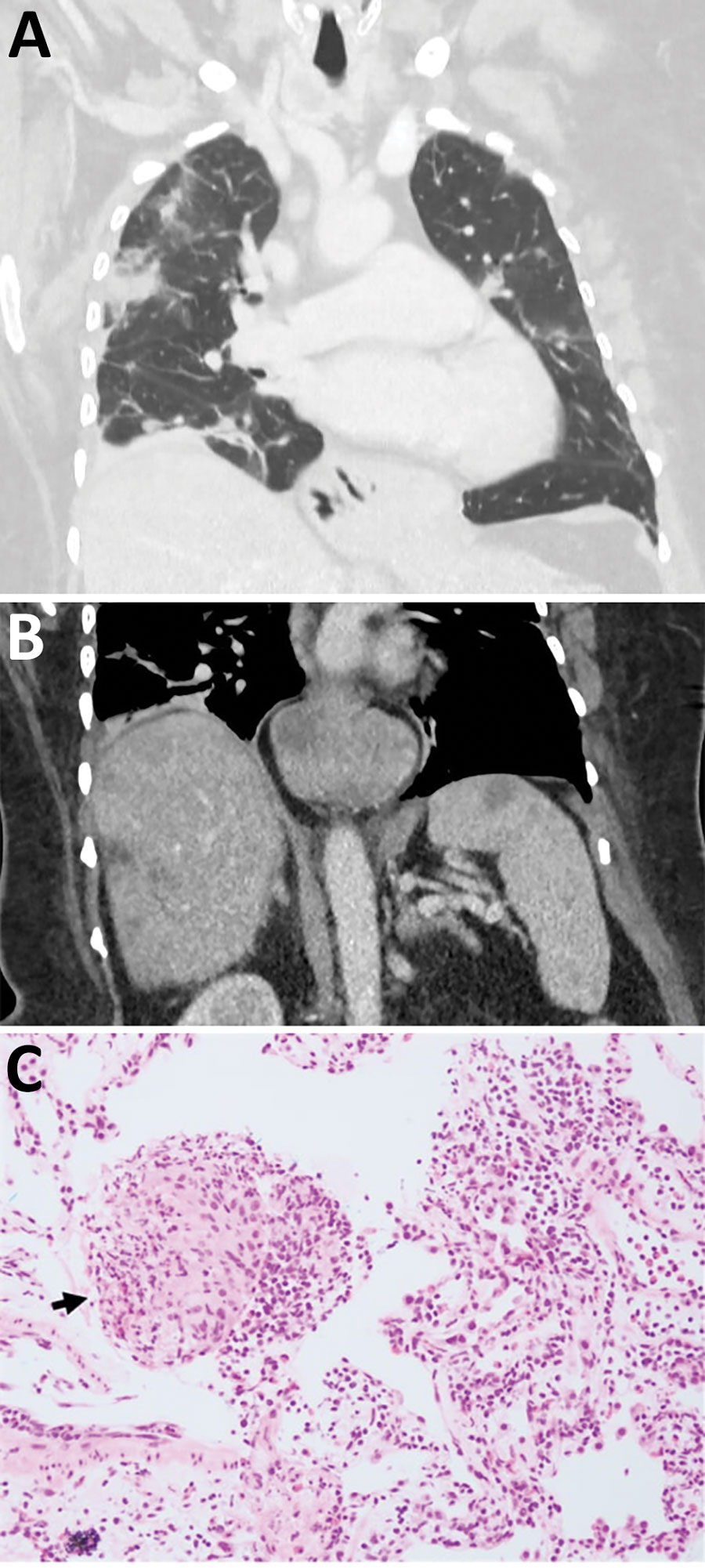
"她最初出现腹痛和腹泻,随后发烧、咳嗽和呼吸急促,"该研究的合著者之一卡琳娜-肯尼迪(Karina Kennedy)说。"现在回想起来,这些症状很可能是由于蛔虫幼虫从肠道迁移到肝脏和肺部等其他器官所致。对患者进行了呼吸道采样和肺部活检,但在这些标本中没有发现寄生虫"。
当然,医生们并没有像他们最终发现的那样寻找一种感染。肯尼迪说:"当时,试图鉴定这种以前从未被确认会导致人类感染的微小幼虫,有点像大海捞针。"
2022 年,在三个月的时间里,这名妇女开始出现健忘和抑郁加重的症状。她接受了脑部核磁共振成像检查,结果显示她的右额叶有病变,于是她接受了开放性活组织检查。就在这时,她发现了一条 3 英寸(8 厘米)长的蛔虫,并从她的大脑中拉出了这条蠕动着的蛔虫。经寄生虫学专家确认,只发现了一条蛔虫。
蛔虫被取出后,该妇女接受了抗寄生虫药物和地塞米松治疗,以解决其他器官中可能存在的幼虫问题,因为已知蛔虫幼虫可在动物宿主体内存活很长时间,有时甚至超过四年。
研究人员说,这一病例凸显了人畜共患病带来的潜在风险。塞纳纳亚克说:"在过去 30 年中,全球大约出现了 30 种新的感染病例。在全球新出现的感染病例中,大约 75% 是人畜共患病,这意味着已经从动物世界传播到人类世界。"

虽然这种感染不会在人与人之间传播,但它仍然是一个潜在的问题。
塞纳纳亚克说:"这种Ophidascaris感染不会在人与人之间传播,因此它不会像SARS、COVID-19或埃博拉病毒那样引起大流行。不过,这种蛇和寄生虫在世界其他地区也有发现,因此未来几年其他国家很可能会发现其他病例。"
研究人员说,这一发现凸显了一般食品安全的重要性,尤其是在野生动物共享的空间觅食时。
肯尼迪说:"园艺或觅食的人在园艺和接触觅食产品后应洗手。任何用于沙拉或烹饪的食物也应彻底清洗,厨房表面和砧板在使用后也应擦拭干净。"
传染病和脑科专家小组将继续对这名妇女进行监测。
塞纳纳亚克说:"成为世界上第一例任何疾病的患者绝非易事,也不值得庆幸。虽然我们对这位女士的钦佩之情溢于言表,她在接受治疗的过程中表现出了耐心和勇气"。
这项研究发表在《新发传染病》(Emerging Infectious Diseases)杂志上。