临床研究显示,接受ONC201治疗的弥漫中线胶质瘤患者生存期延长;研究还解释了这种药物成功的内在机制。研究人员首次发现了一种潜在的候选药物,它有望改善一种特殊类型的儿童脑肿瘤患者的治疗效果。据观察,这种名为 ONC201 的化合物可使被诊断为弥漫性中线胶质瘤(DMG)或弥漫性内侧桥脑胶质瘤(DIPG)患者的生存率比以前提高近一倍。
密歇根大学罗杰尔癌症中心(University of Michigan Health Rogel Cancer Center)和查德-卡尔儿童脑肿瘤中心(Chad Carr Pediatric Brain Tumor Center)领导的一个国际研究小组报告了这一研究结果。
除了报告两项早期临床试验的结果外,论文还揭示了该化合物在这些肿瘤中取得成功的内在机制,论文发表在美国癌症研究协会的期刊《癌症发现》上。
弥漫中线胶质瘤(包括发生 H3K27M 突变的 DIPG)的侵袭性特别强,总生存率仅为 11-15 个月。这些肿瘤最常见于儿童和年轻人。唯一可用的治疗方法是放射治疗,但即使是放射治疗也很困难,因为肿瘤位于具有关键功能的脑区。
小儿神经肿瘤学副教授、密歇根医学院查德-卡尔小儿脑肿瘤中心临床科学主任、资深作者、医学博士卡尔-科施曼(Carl Koschmann)说:"这是一种非常难以治疗的肿瘤。在这项研究之前,已有250多项临床试验未能改善治疗效果。这是盔甲上的一个重大裂缝"。

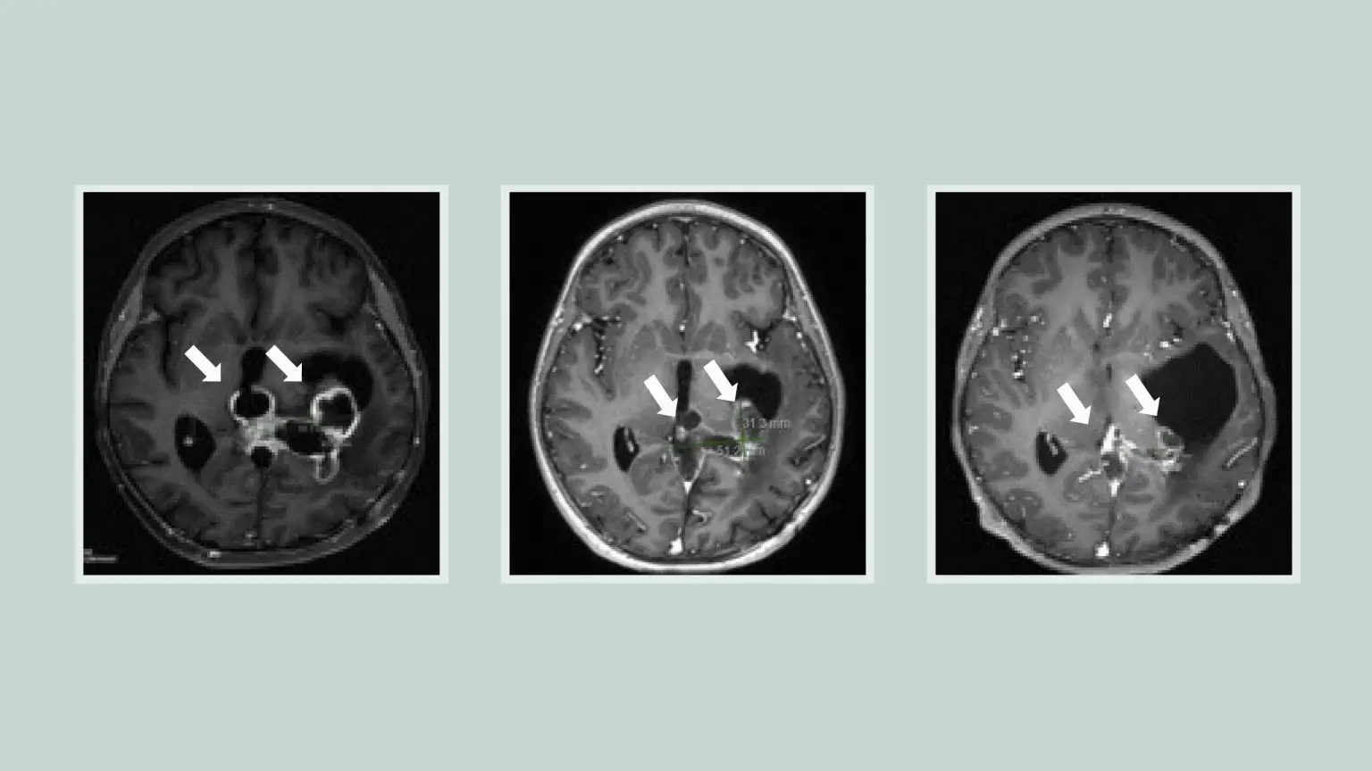
一系列脑部扫描显示肿瘤对ONC201的反应正在缩小。资料来源:密歇根医学院
在对71名H3K27M突变的弥漫性中线胶质瘤患者进行的两项临床试验中,入组时未复发的肿瘤患者的中位总生存期接近22个月,近三分之一的患者存活时间超过两年。
ONC201 的临床试验之路不同寻常。研究人员发现,这种药物可以通过血脑屏障,而血脑屏障是设计脑肿瘤药物的最大挑战之一。最初在胶质母细胞瘤中的试验并不成功,但少数携带H3K27M突变的DMG患者取得了较好的效果。在不明白为什么在这些患者中效果更好的情况下,他们开始在患有H3K27M突变DMG的儿童和年轻成人中进行第一阶段试验。
与此同时,Koschmann 和合著者、医学博士 Sriram Venneti 正试图弄清这些肿瘤细胞中发生了什么。
通过试验,他们收集了患者的脑脊液。他们用这些脑脊液分析新陈代谢的变化,发现ONC201进入肿瘤细胞并影响线粒体。对这种药物有反应的患者,其肿瘤细胞产生的一种名为L-2HG的代谢物有所增加。
Koschmann 称这一发现"非常出乎意料"。研究小组发现,L-2HG的增加逆转了肿瘤决定性的表观遗传信号,导致肿瘤细胞分化更多,分裂更少。患者服用ONC201的时间越长,肿瘤表现出这些表观遗传逆转的情况就越多。
"这可以解释为什么这些患者对这种药物的反应如此之好,因为他们的这种特殊表观遗传异常可以被ONC201所关闭。"密歇根医学院病理学和儿科学副教授、查德-卡尔小儿脑肿瘤中心科研主任Venneti说:"肿瘤有一个由H3K27M突变引起的表观遗传学变化,而ONC201通过代谢消除了这种变化。"
目前正在进行更多的临床试验,包括测试ONC201与其他疗法的结合。密歇根大学查德-卡尔小儿脑肿瘤中心的研究人员还在继续研究如何通过联合用药克服ONC201的抗药性。
Koschmann指出,即使生存率提高近一倍,对患有这种疾病的患者家庭来说也是不够的,因为这种肿瘤仍然非常致命。但他希望这第一步能在未来带来更大的飞跃。
他说:"现在,我们有了一个以前没有药物的患者群体,现在我们看到许多肿瘤都有了反应。我们有了一个可以利用的平台,我们也可以解释它为什么有效。"
Venneti说:"我们对这项研究感到非常兴奋,ONC201有望在不久的将来成为这些患者的标准治疗方案。"