哥伦比亚大学的研究人员发现,脑损伤可能是隐藏意识的根源。当脑损伤患者对基本指令似乎没有反应时,就会出现这种神秘的情况,即使他们保留了一定程度的意识,也会显得没有知觉。

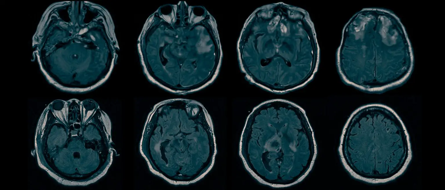
核磁共振成像扫描揭示了隐藏意识背后的脑损伤。资料来源:哥伦比亚大学欧文医学中心克拉森实验室
研究负责人、哥伦比亚大学瓦格洛斯内外科医学院神经病学副教授、纽约长老会/哥伦比亚大学欧文医疗中心重症监护和住院神经病学主任、医学博士 Jan Claassen 说:"我们的研究表明,隐性意识患者可以听到并理解口头命令,但他们无法执行这些命令,这是因为从大脑向肌肉传达指令的大脑回路受到了损伤。"
这些发现可以帮助医生更快地识别可能有隐性意识的脑损伤患者,并更好地预测哪些患者有可能通过康复治疗恢复。
隐藏意识又称认知运动解离(CMD),约有15%到25%的头部外伤、脑出血或心脏骤停导致的脑损伤患者会出现这种情况。
在之前的研究中,克拉森及其同事发现,通过脑电图检测到的微妙脑电波最能预测无反应脑损伤患者的隐性意识和最终恢复情况。但在这种情况下,大脑中发生紊乱的精确通路尚不清楚。
在这项新研究中,研究人员使用脑电图对 107 名脑损伤患者进行了检查。该技术可以确定患者何时在尝试对"继续张开和合上你的右手"之类的命令做出反应,尽管无法做出反应。分析结果检测出其中 21 名患者患有 CMD。
研究人员随后分析了所有患者的核磁共振成像结构扫描结果。
共同第一作者、克拉森实验室副研究员、信号处理、机器学习和生物统计学专家沈琦(音译)博士说:"利用我们开发的一种名为双聚类分析的技术,我们能够找出CMD患者共有的脑损伤模式,并与没有CMD的患者形成对比。"
研究人员发现,所有CMD患者都有与唤醒和指令理解相关的完整大脑结构,这支持了这样一种观点,即这些患者听到并理解了指令,但却无法执行。
克拉森说:"我们发现,所有CMD患者负责将理解的运动指令与运动输出相结合的大脑区域都存在缺陷,这使得CMD患者无法根据口头指令采取行动。"
这些发现可能会让研究人员更好地了解哪些脑损伤患者患有CMD,这将有助于支持意识恢复的临床试验。
在将这些方法应用于临床实践之前,还需要进行更多的研究。"不过,我们的研究表明,利用广泛可用的脑结构成像技术筛查隐性意识是有可能的,这使CMD的检测离临床普遍应用更近了一步,"克拉森说。
并非每个重症监护病房都有资源和人员接受过使用脑电图检测隐性意识的培训,因此核磁共振成像可能提供一种简单的方法来识别需要进一步筛查和诊断的患者。