来自 UNIGE-HUG 的一个团队展示了成像技术在识别大脑中 tau 蛋白方面的价值,tau 蛋白是阿尔茨海默病导致认知能力下降的预测因子。阿尔茨海默病是一种常见的神经退行性疾病,会导致记忆力和独立性逐渐下降。

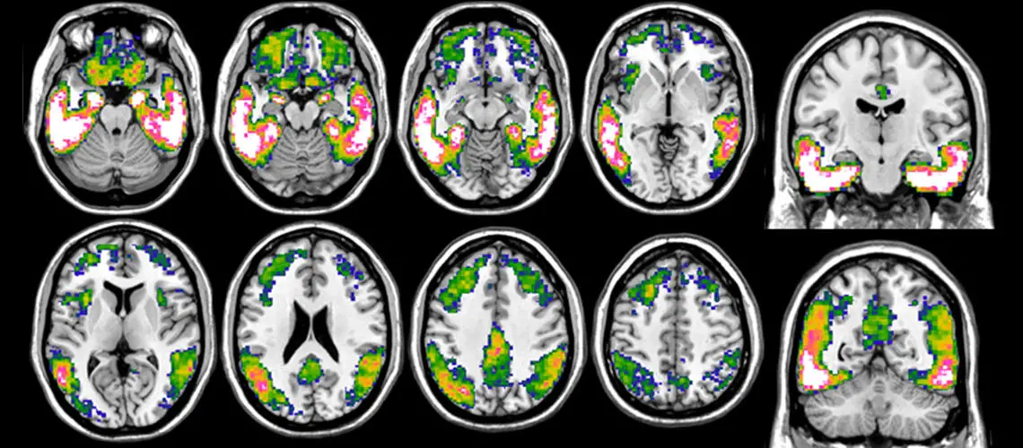
用 18F-Flortaucipir PET 对阿尔茨海默氏症中的 Tau 进行成像。图中显示的是通过比较阿尔茨海默病患者与健康对照组的 tau 负荷而得出的典型 tau 累积模式。从蓝色到白色的色标表示更明显的tau负荷,粉白色区域代表最高的积累。资料来源:UNIGE
它的特征是大脑中有害蛋白质的堆积,特别是淀粉样蛋白斑和 tau 结。由于病理变化会在数十年间悄无声息地发展,因此早期诊断至关重要,以便在疾病过程中尽早采取行动。
日内瓦大学(UNIGE)和日内瓦大学医院(HUG)的研究人员发现,tau PET(一种可视化 tau 蛋白的新型成像技术)比通常使用的成像技术更能预测患者认知能力的下降。
这些结果发表在《阿尔茨海默氏症与痴呆症》(Alzheimer's & Dementia: 阿尔茨海默氏症协会期刊》上发表的这些结果支持将 tau PET 快速引入临床常规,为患者提供早期和个性化的解决方案。
目前,阿尔茨海默病的主要诊断工具之一是正电子发射断层扫描(PET),这是一种通过注射示踪剂来观察大脑特定病理过程的成像技术。"正电子发射计算机断层扫描是一种成像技术,通过注射示踪剂来观察大脑中的特定病理过程。"
"这些示踪剂的设计目的是与我们想要检测的人体分子结合,使它们在 PET 断层扫描中可见,"负责指导这项研究的联合国大学医学院放射学和医学信息学系副教授兼 HUG 核医学和分子成像部主任医师瓦伦蒂娜-加里博托(Valentina Garibotto)解释说。"淀粉样蛋白的特异性示踪剂已经存在了二十年,监测葡萄糖代谢的示踪剂也早已存在,葡萄糖代谢表明大脑正确使用能量资源的能力。然而,阿尔茨海默病非常复杂,这两种技术不足以提供所有答案。"
成像技术比较
Flortaucipir是一种能与tau蛋白结合的放射性示踪剂。它由一家制药公司开发,并于2020年获得美国食品药品管理局(FDA)批准。它可以检测 tau 蛋白的积累及其在大脑中的分布,从而精确评估其在疾病临床表现中的作用。
来自联合国大学和哈佛大学的科学家们希望确定哪种成像模式(淀粉样蛋白 PET、葡萄糖代谢 PET 或 tau PET)最能预测阿尔茨海默病导致的未来认知能力下降。HUG记忆中心招募了约90名参与者。
"我们的结果表明,虽然各种正电子发射计算机断层显像测量都与认知症状的存在有关,证实了它们作为阿尔茨海默病强有力指标的作用,但 tau 正电子发射计算机断层显像测量最能预测认知能力下降的速度,即使是对症状极轻的人也是如此,"Garibotto 教授团队的博士生、本研究的第一作者 Cecilia Boccalini 总结道。
检测个体差异
淀粉样蛋白斑块并不一定伴有认知或记忆丧失。但是,tau的存在与临床症状密切相关。它的存在与否是决定患者病情是保持稳定还是迅速恶化的主要因素。开发可视化 tau 的成像技术一直比较困难,这主要是因为 tau 的浓度较低且结构特别复杂。
"这一突破对于更好地治疗阿尔茨海默病至关重要。最近,针对淀粉样蛋白的药物取得了积极成果。"针对 tau 蛋白的新药也很有前景。瓦伦蒂娜-加里博托指出:"通过在大脑进一步受损之前尽早发现病变,并采用新的治疗方法,我们希望能够对患者的未来和生活质量产生更大的影响。同样,我们也开始绘制 tau 的分布图,以了解它在大脑不同区域的位置如何影响症状。"
事实上,事实证明这种疾病的病因和不同阶段远没有以前想象的那么一致,而且需要更好地了解个人对相同现象的易感性。
这些结果有力地支持将 tau PET 纳入常规临床评估,以评估个体预后并为每位患者选择最合适的治疗策略。