德克萨斯生物医学研究所的科学家们已经成功地在实验室环境中培养出肺泡巨噬细胞,这是肺部的一种重要免疫细胞。这种细胞培养模型的开发大大简化和降低了全球研究人员调查肺部炎症性疾病和探索潜在新疗法的成本。

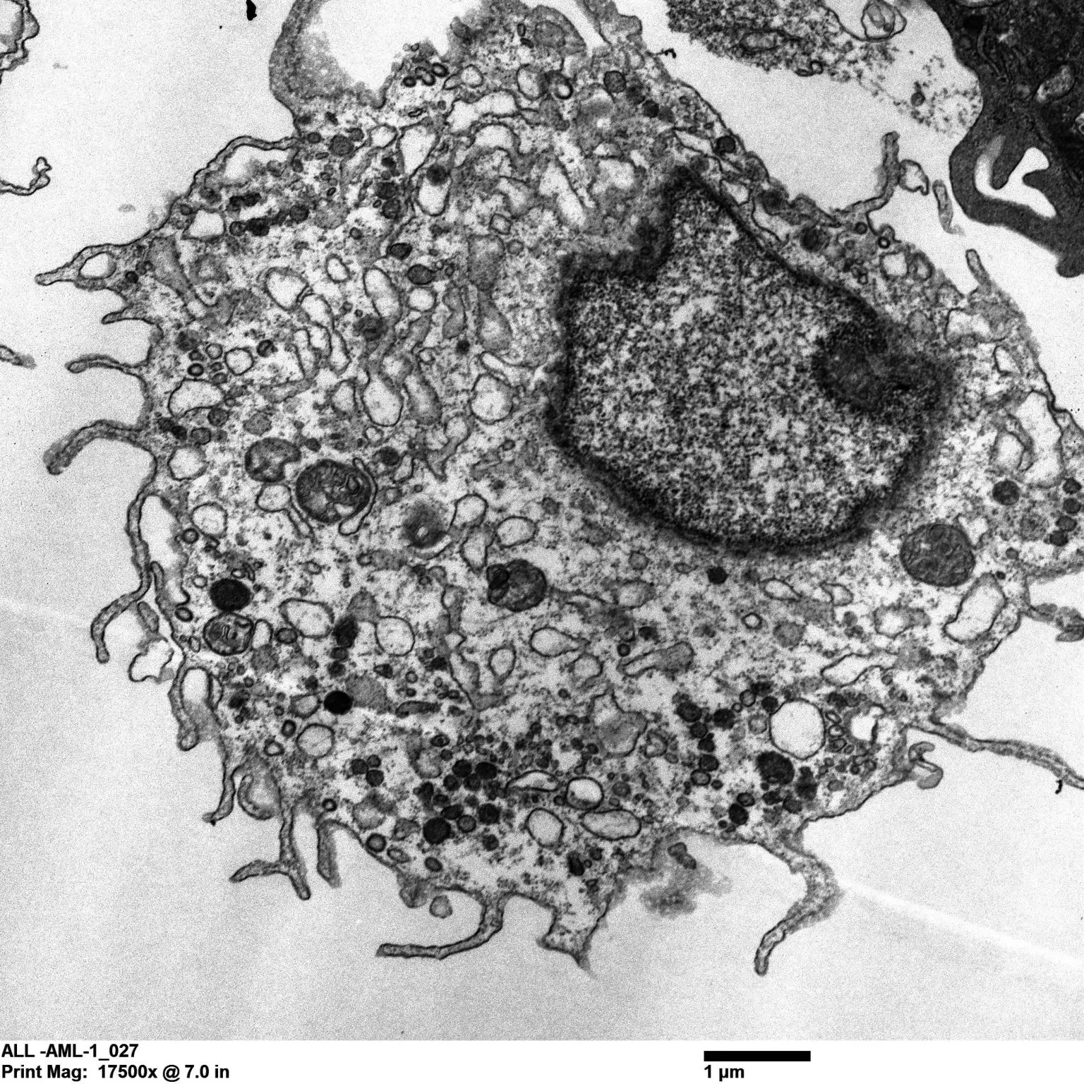
用透射电子显微镜观察肺泡巨噬细胞样细胞的细节。图片来源:Texas Biomed
巨噬细胞是免疫系统中的"吃豆人",能吃掉人体各组织中的垃圾。尤其是肺泡巨噬细胞,它们居住在肺部气囊的内壁,那里是空气交换的场所。它们通常是对抗侵入肺部深层的病原体(如 SARS-CoV-2 或导致肺结核的细菌)的最初免疫细胞。
德克萨斯生物医学教授、医学博士 Larry Schlesinger 是发表在《mBio》杂志上论文的资深作者,他说:"研究组织特异性细胞对于更好地了解健康和疾病的机制以及筛选潜在的新疗法至关重要。"

博士后研究员苏珊塔-帕哈里(Susanta Pahari)博士在 COVID-19 大流行期间开发出了产生肺泡巨噬细胞样 (AML) 细胞的神奇鸡尾酒。图片来源:德克萨斯生物医学公司
新旧对比
人类肺泡巨噬细胞的研究一直具有挑战性,因为它们位于肺部深处,很难接触到。通常情况下,它们是通过耗时且昂贵的肺部清洗收集的,这需要使用支气管镜穿过喉咙进入呼吸道收集液体样本。
这种新模式从简单的抽血开始。分离出白细胞后,将其放入特氟隆罐中,并加入专门的细胞培养成分。再加入表面活性剂和三种不同的细胞因子蛋白,这些蛋白通常存在于肺泡内壁液中。
"我们称之为"神奇鸡尾酒","德克萨斯生物医学公司博士后研究员、论文第一作者苏珊塔-帕哈里(Susanta Pahari)博士说。"我们正在细胞培养中模拟肺泡环境。它让细胞以为自己是在肺部。"

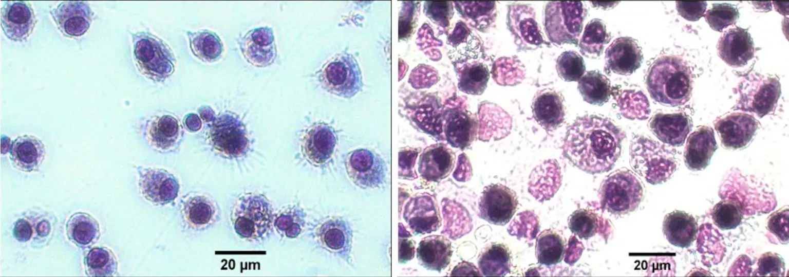
生成的肺泡巨噬细胞样细胞(左)与通过肺洗液收集的人类肺泡巨噬细胞(右)非常相似,而无需花费时间、费用和侵入性收集程序。资料来源:德克萨斯生物医学公司
在六天内,细胞分化或转化为肺泡巨噬细胞样细胞。生成的细胞与从肺洗液中收集的人类肺泡巨噬细胞的基因相似度高达 94%。德克萨斯生物医学公司团队证实,该模型可用于研究肺结核和COVID-19;细胞很容易吸收病原体。
"开发出能够帮助研究界的东西是一件非常有意义的事情,"Pahari 博士说。"我们已经收到了全球各地许多要求制定巨噬细胞培养方案的电子邮件。我们现在正在研究开发一种我们可以提供的试剂盒,让其他人更容易复制我们所做的工作。"
支点与改进
在某种程度上,这一进步是 COVID-19 大流行的副产品。当大流行袭来时,帕哈里博士无法轻易获得人类肺泡巨噬细胞,他的研究也因此停滞不前。于是,他转而专注于开发一种替代品。经过多年的反复试验,他终于确定了鸡尾酒中最有效的成分组合,并进行了基因测试和验证。该模型改进了施莱辛格博士实验室多年来用于制造人类巨噬细胞的标准方法。
施莱辛格博士说:"我们一直在使用源于人类单核细胞的巨噬细胞,它本身是一个很好的模型,但与独特的肺泡巨噬细胞并不十分相似。最终奏效的方法让人联想到生成成体诱导多能干细胞的过程,即把成体干细胞放入特定鸡尾酒中,帮助它们恢复到可以分化成全新组织的状态。我很高兴看到肺泡巨噬细胞样细胞的全部潜力,以及它们是否能被整合到下一代肺器官组织中。"