研究人员将能够形成特化脑支持细胞的细胞移植到小鼠大脑中,发现它们不仅能与不健康的细胞竞争并取代它们,还能取代衰老的细胞。这些发现为开发治疗多发性硬化症、肌萎缩性脊髓侧索硬化症、阿尔茨海默病、自闭症和精神分裂症等一系列疾病的有效疗法打开了大门。
神经胶质细胞是神经细胞(神经元)支持系统细胞的总称。祖细胞是干细胞的后代,可以分化成特定的细胞类型,就神经胶质细胞而言,人类神经胶质祖细胞(hGPCs)可以分化成亚型,包括星形胶质细胞和少突胶质细胞,专门负责特定的功能。
星形胶质细胞占中枢神经系统细胞的大部分,为神经元提供支持和保护,运输营养物质并清除废物。少突胶质细胞在一些轴突(神经元与另一个神经元连接并传递神经冲动的部分)周围铺设并维持富含脂质、被称为髓鞘的绝缘包裹。
星形胶质细胞和少突胶质细胞功能失调与多种神经退行性疾病和神经精神疾病有关。鉴于 hGPCs 能够产生新的星形胶质细胞和少突胶质细胞,丹麦哥本哈根大学的研究人员对移植健康的 hGPCs 如何帮助恢复大脑功能进行了研究。
亨廷顿氏病是一种罕见的致命遗传性疾病,会导致神经元进行性衰竭,研究人员之前已经证明,将健康的人类神经胶质细胞移植到亨廷顿氏病小鼠模型中,可以取代不健康的小鼠神经胶质细胞。
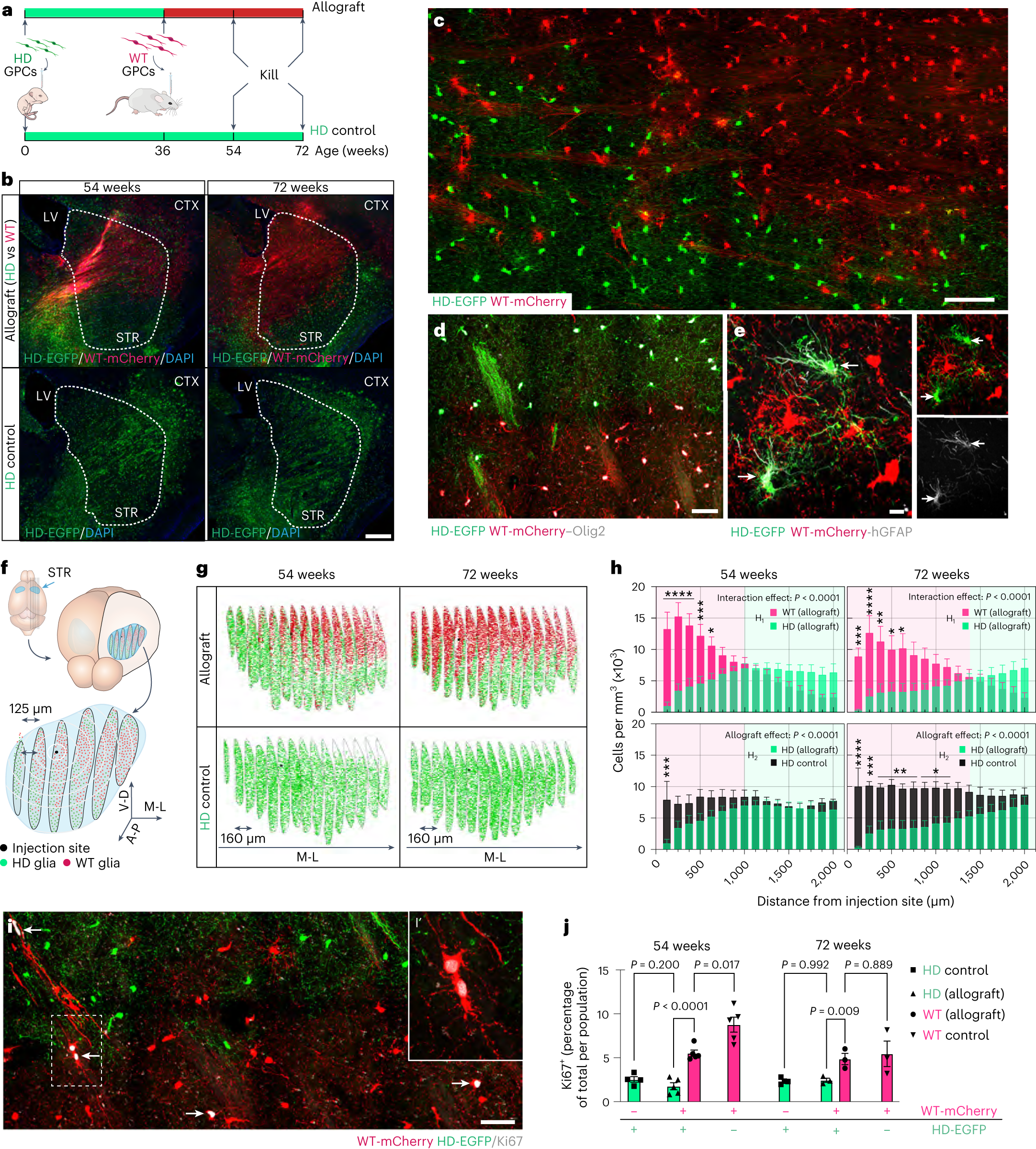
在目前的研究中,他们想看看健康的人体细胞能否替代患病的人体细胞。因此,他们向注射了亨廷顿氏症患者干细胞的"嵌合"小鼠中引入了健康的hGPCs。研究人员发现,健康细胞超越并完全取代了患病细胞。
该研究的通讯作者史蒂文-戈德曼(Steven Goldman)说:"我们将健康的人类细胞移植到'人源化'的亨廷顿突变表达神经胶质的小鼠体内,健康的神经胶质细胞超越并取代了患病的神经胶质,实际上消灭了患病的神经胶质群体。"
有趣的是,研究人员发现,当年轻的供体hGPC被引入人源化小鼠的大脑时,它们与健康、未患病但衰老的细胞竞争并取代了它们。研究人员说,他们发现健康的hGPCs既能替代患病细胞,也能替代衰老细胞,这一发现意义重大,凸显了开发可用于各种情况的治疗方法的潜力。
戈德曼说:"这告诉我们,这不仅仅是一个健康细胞取代亨廷顿氏病病变细胞的问题,就其潜在用途而言,这要广泛得多,因为我们可以进入有老年或病变神经胶质群体的各种疾病靶点。"就其可能的用途而言,优势是显著的,因为有各种各样的神经胶质细胞疾病。"
神经胶质细胞对某些神经病理学的发展至关重要。神经退行性疾病肌萎缩侧索硬化症(ALS)(又称卢伽雷氏病)、癫痫、多发性硬化症(MS)、帕金森病和阿尔茨海默病都与神经胶质细胞功能失调有关。神经精神疾病、自闭症谱系障碍(ASD)、双相情感障碍和精神分裂症也是如此。
如果我们能够替换病变和老化的细胞,那么我们就应该能够恢复这些退行性疾病的正常功能,正如我们在亨廷顿氏病的实验模型中所看到的那样。但这基本上只是一个原理证明,研究人员认为同样的方法也能用于其他一些疾病。在肌萎缩性脊髓侧索硬化症、一些额颞叶痴呆症,甚至在一些遗传性精神分裂症,以及髓鞘疾病和与年龄相关的白质缺失方面都是如此。
研究人员提议进行临床试验,以检验 hGPC 移植对亨廷顿氏病和另外两种疾病(原发性进行性多发性硬化症(PPMS)和佩利泽斯-默茨巴赫病(PMD))的疗效。大多数多发性硬化症患者在病情缓解后会出现复发,而约有15%的多发性硬化症患者病情会持续恶化,没有缓解期。PMD是一种罕见的进行性遗传疾病,会损害少突胶质细胞,导致协调能力、运动能力和认知功能退化。
研究人员希望在未来几年内开展人体临床试验。"事情进展得相当顺利,"戈德曼说。"我们仍然需要绝对确定细胞移植后的长期安全性。但我们预计在一年半左右就能获得这些数据。到那时,我们希望可以获得批准,对患者进行移植,所以我希望我们能在两年内启动这种方法的试验。"
这项研究发表在《自然-生物技术》杂志上。
