研究人员发现了三种新的前列腺癌生物标记物,它们能提高病理学家用来分级疾病严重程度的癌细胞的可见度。这项新技术有助于确定哪些患者需要紧急治疗,哪些不需要,从而改善数百万男性的治疗效果。

2020 年,140 多万男性被诊断出患有前列腺癌,估计有 375304 人死亡。前列腺癌的存活率取决于多个因素,包括癌症的分期和等级、患者的年龄和总体健康状况以及对治疗的反应。
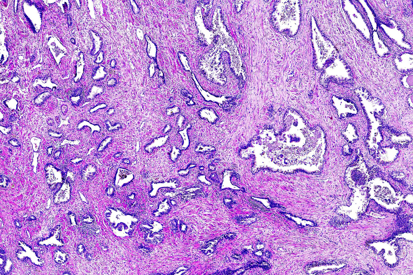
格里森评分是确定前列腺癌等级的主要依据。病理学家在显微镜下观察染色的癌细胞,看它们有多像健康细胞(得分低)或异常和侵袭性细胞(得分高)。这表明癌症恶化和扩散的可能性有多大。与高分癌症相比,低分癌症的生长速度较慢,扩散的可能性较小。
使用格里森评分的问题在于,由于评分是由人来完成的,因此可能带有主观性。两个观察者可能会得出不同的结论。现在,在南澳大利亚大学领导的一项新研究中,研究人员发现了三种新的生物标志物,它们可能有助于识别和区分潜在的侵袭性前列腺癌病例。
研究人员旨在利用与不同等级前列腺癌相一致的细胞生物学变化来改进目前的诊断方法。他们研究了内质体-溶酶体系统(参与癌症发展的细胞器)以及该系统中的三种蛋白质: Appl1、Sortilin 和 Syndecan-1。研究发现,与普通染色法相比,这些蛋白质生物标记物能让病理学家观察到组织样本中更多的特征。
研究人员使用了114名被诊断患有前列腺癌的男性捐赠的组织样本,他们在2006年至2014年间接受了根治性前列腺切除术--切除整个前列腺及其周围组织的手术。
每位患者的组织样本都被切成四个连续切片。第一张切片采用传统方法染色,并送往由11位国际泌尿生殖病理学家组成的委员会,由他们达成共识并为每位患者分级。其余切片分别用生物标记物 Appl1、Sortilin 和 Syndecan-1 进行标记。每种蛋白质都会突出显示不同的细胞物质。然后,将这三个组织切片交给同样的 11 位病理学家--为了限制可能出现的记忆偏差,他们至少间隔了一周--他们在达成共识后给每位患者评定了等级。
研究人员发现,与传统的组织染色方法相比,使用由三种新型生物标记物组成的小组能更好地预测前列腺癌患者的预后。他们说,这将有助于对前列腺癌进行分级,以确定哪些患者需要紧急治疗,从而改善预后。
这项研究的合著者罗伯特-布鲁克斯(Robert Brooks)说:"生物标志物在准确显示癌症进展和确认癌症分级方面具有极高的灵敏度和特异性。这一发现促成了一种检测方法的商业开发,该方法旨在确定癌症的晚期和侵袭程度,以及是否需要立即治疗。"
研究人员与澳大利亚 Envision Sciences 公司合作开发了研究中使用的生物标记检测技术。Envision Sciences公司已与美国最大的病理诊断公司之一Quest Diagnostics签署了商业化协议,将该技术应用于临床实践。
如果在美国取得成功,预计将在澳大利亚开始使用这项新技术进行临床试验。
这项研究发表在《癌症》杂志上。