研究人员利用深度学习的人工智能模型,将简陋的胸部X光片变成了诊断心脏问题的更有力的工具。他们说,他们的新方法可以作为评估心脏功能和检查疾病的一种快速和准确的方法。

胸部X光是世界上最经常进行的放射学检查,也是卫生专业人员诊断肺部和心脏疾病的常见方法。但是,虽然它们快速且容易执行,但X光是一种静态图像,无法提供有关心脏如何运作的信息。为此,你需要进行超声心动图检查。
超声心动图--通常称为"回声"--评估心脏的泵送效率如何,以及心室之间的瓣膜是否漏气或病变。如果心脏瓣膜发生病变,心脏就不能有效地泵血,不得不更加努力工作,这可能导致心脏衰竭或心脏骤停和死亡。然而,超声心动图需要一个具有专业技能的技术人员。
现在,来自大阪市立大学的研究人员招募了一个深度学习的人工智能模型,将简陋的胸部X光检查转变为一个更详细的诊断工具。
深度学习是人工智能(AI)使用的一个过程,教计算机以模仿人脑的方式处理数据。该模型可以识别图片、文本、声音和其他数据中的复杂模式,从而产生准确的洞察力和预测。
研究人员用2013年至2021年期间从四个机构的16946名患者那里获得的与22551张超声心动图相关的胸部X光片来训练深度学习模型。他们使用了来自多个机构的数据,以减少人工智能产生偏颇结果的风险。
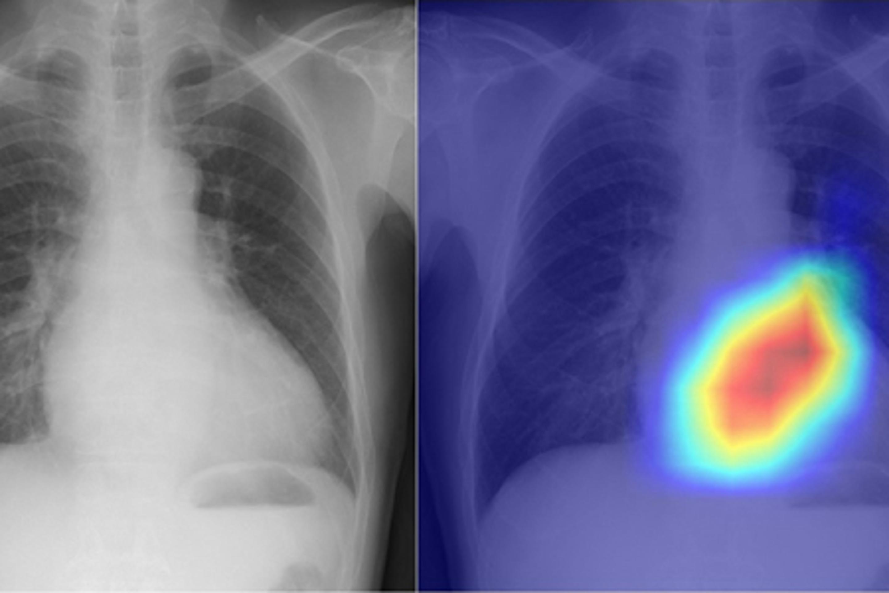
X光片被设定为输入数据,超声心动图被设定为输出数据,模型被训练为学习连接两个数据集的特征。在测试他们的深度学习模型时,研究人员发现,它可以精确地将六种类型的瓣膜性心脏病分类。曲线下面积(AUC)--表示人工智能模型区分类别的能力的评分指数--在0.83至0.92之间。AUC的数值范围从0到1;越接近1越好。
研究人员说,他们的新型人工智能方法可以补充超声心动图,特别是在需要快速诊断或技术人员短缺的时候。
"我们花了很长时间才得到这些结果,但我相信这是一项重要的研究,"该研究的主要作者Daiju Ueda说。"除了提高医生的诊断效率外,该系统还可能用于没有专家的地区,用于夜间急诊,以及用于难以接受超声心动图的病人。"
该研究发表在《柳叶刀数字健康》杂志上。