黄疯蚁在科学上被称为Anoplolepis gracilipes,因成为全球最具破坏性的入侵物种之一而臭名昭著。尽管如此,一个国际研究小组对它的破坏能力不感兴趣。他们的研究反而以其独特的繁殖过程为中心,因为这种蚂蚁物种的雄性对应物长期以来一直让科学界感到困惑。

雄性黄疯蚁表现出一种独特的特征,即拥有两个不同的基因组,每个基因组都包含在独立的细胞群中。
"以前对黄疯蚁的遗传分析结果表明,这个物种的雄性每条染色体都有两个副本。这非常出乎意料,因为雄性通常由蚂蚁、蜜蜂和黄蜂的未受精卵发育而来--因此每条染色体应该只有一个母体拷贝,"美因茨约翰内斯古腾堡大学(JGU)的助理教授、最近发表在《科学》上的相应文章的主要作者Hugo Darras博士解释说。
"考虑到这一点,我们决定通过后续的实验来研究这一令人困惑的现象"。

两只雄性黄疯蚁(Anoplolepis gracilipes)。资料来源:雨果-达拉斯
不同细胞群中的两个基因组
这个结果是相当不寻常的。迄今为止,人们一直认为黄疯蚁的雄性在其身体的所有细胞中携带相同的两套染色体。然而,该团队能够证明这一前提是完全不正确的。
"我们发现雄性蚂蚁的母系和父系基因组在它们身体的不同细胞中,因此是嵌合体。换句话说,所有雄蚁都有两个基因组,但它们身体的每个细胞只包含这两个基因组中的一个或另一个,"达拉斯总结说。
通常情况下,在一个多细胞的生命形式中--无论是人、狗还是蝙蝠--所有的细胞都含有相同的遗传物质。

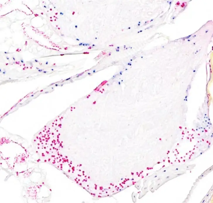
嵌合型雄性黄疯蚁的大脑纵切面,母系(粉色)和父系(蓝色)基因组原位杂交: 雄性组织由只携带母系或父系基因组的大细胞团组成。资料来源:雨果-达拉斯
研究小组得出结论,雄性黄疯蚁是嵌合体:它们从受精卵发育而来,其中两个亲代配子实际上并没有融合。相反,母体和父体的细胞核在同一个卵子中分别分裂,这意味着所产生的成年雄蚁具有父母双方的DNA序列,但在不同的体细胞中。
当配子融合时,根据精子携带的遗传信息,从卵子中发育出女王或工人。目前还不知道是什么机制决定亲代配子的融合是否发生。
嵌合体和黄疯蚁: 一种以前不为科学所知的繁殖模式
嵌合体是指其细胞含有不同遗传物质的个体。它们自然发生在某些物种中,如珊瑚,其中独立的个体可以合并成一个。嵌合体也可以在人类和其他有胎盘的哺乳动物中发现。在妊娠期间,母亲和胎儿可以交换少量的细胞,因此后代通常有几个细胞含有与母亲相同的遗传物质。这种小规模的交换也发生在子宫内的双胞胎之间。

一只雄性黄疯蚁(Anoplolepis gracilipes)。资料来源:雨果-达拉斯
"与这些已知的案例相比,黄疯蚁的嵌合体并不是由两个独立个体的融合或它们之间的细胞交换造成的。相反,这个过程起源于一个单一的受精卵。"达拉斯总结说:"这是独一无二的。"
因此,雄性黄疯蚁的发育似乎违反了生物遗传的基本规律之一,即一个个体的所有细胞都应该包含相同的基因组。