冷泉港实验室的研究人员发现,调节RNA剪接的蛋白质SRSF1在胰腺导管腺癌(PDAC)--一种致命的胰腺癌--的发展中起着关键作用。SRSF1的水平升高导致炎症并刺激肿瘤生长,而其恢复正常水平则可阻止疾病的发展。这一发现可能为PDAC的新诊断方法和治疗铺平道路。

胰腺导管腺癌(PDAC)是胰腺癌的最常见形式。它也是最致命的癌症之一。90%以上的PDAC患者在诊断后五年内死亡。通常情况下,当癌症被发现时,它已经扩散。
冷泉港实验室(CSHL)教授阿德里安-克莱纳(Adrian Krainer)说:"PDAC往往发现得太晚,像化疗和手术这样的治疗方法不会非常有效。但如果我们能够清楚地了解PDAC的潜在遗传机制,这可能会导致更早的诊断和新类型的治疗。"
Krainer和CSHL博士后Ledong Wan与CSHL教授David Tuveson合作探索一种名为RNA剪接的遗传过程在胰腺癌中的作用。RNA剪接帮助DNA向细胞传递生产蛋白质的指令。该团队将目光锁定在一个名为SRSF1的剪接调节蛋白上。他们发现,高水平的SRSF1会导致炎症,或胰腺炎。这启动了PDAC肿瘤的发展。

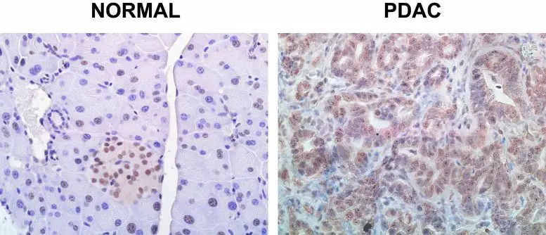
正常健康的胰腺细胞保持恒定的SRSF1水平(染成红色),但在PDAC中,这些水平的增长失去了控制。资料来源:Krainer实验室/冷泉港实验室
"细胞有几个过程来保持SRSF1水平恒定,"Krainer说。"但癌症往往会找到一种方法来克服这些制衡"。
几个基因、RNA和蛋白质在细胞中共同工作,以保持SRSF1水平的稳定。但有时,这个过程会被打乱。在胰腺中,这引发了胰腺炎并加速了PDAC。
"这是一个非常明显的影响,"Krainer解释说。"我们可以看到,肿瘤表达SRSF1水平较高的患者,其结果更差。因此,我们着手探索SRSF1在多大程度上促成了PDAC。"
研究小组发现,较高水平的SRSF1对PDAC在小鼠和器官--小型肿瘤的生长至关重要。此外,当SRSF1恢复到正常水平时,细胞器停止了生长。SRSF1在健康组织中很重要,因此它本身可能不是一个理想的药物目标。然而,它所促进的一些剪接变化可以作为目标。Krainer说仍有更多工作要做。
他说:"我们对这些进展感到兴奋。但PDAC是一种困难和复杂的恶性肿瘤。我们希望为未来的治疗提供可操作的信息。由Ledong带头的这项工作只是冰山一角"。
Krainer和Wan与Tuveson实验室的合作是探索胰腺和乳腺癌的更广泛努力的一部分。该倡议还包括CSHL的David Spector和Christopher Vakoc教授。
CSHL癌症中心主任Tuveson说:"Krainer实验室的范式转变工作使我们对许多类型的癌症有了更深入的了解。Wan博士的研究揭示了理解胰腺癌的一个令人兴奋的新途径。它再次证实了基础生物学研究对改善人类健康的重要性"。