我们的基因构成中的突变可能导致严重的问题,如结肠癌或肝癌就是由此而来。然而,癌症是一种错综复杂的疾病,同样的基因突变可以在不同的人身上产生不同的肿瘤亚型。目前,还没有有效的方法在实验室中创造这些肿瘤亚型。

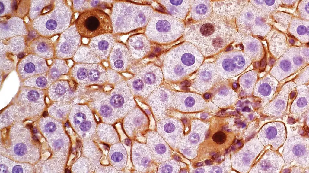
近距离观察小鼠的肝脏;使用Semir Beyaz实验室设计的一种新的基因编辑策略,具有深色中心的细胞变成了癌症。资料来源:Beyaz实验室/冷泉港实验室
现在,冷泉港实验室的Semir Beyaz助理教授利用CRISPR-Cas9基因编辑工具开发了一种新技术,用于模拟某些亚型的肝癌肿瘤。
基因包含了我们身体创造蛋白质所需的信息。由同一基因产生的高度相似的蛋白质被称为异构体。不同的异构体产生不同的肿瘤。这个过程被称为外显子跳转,即一个基因的多个部分被缝合在一起,以制造不同版本的蛋白质。

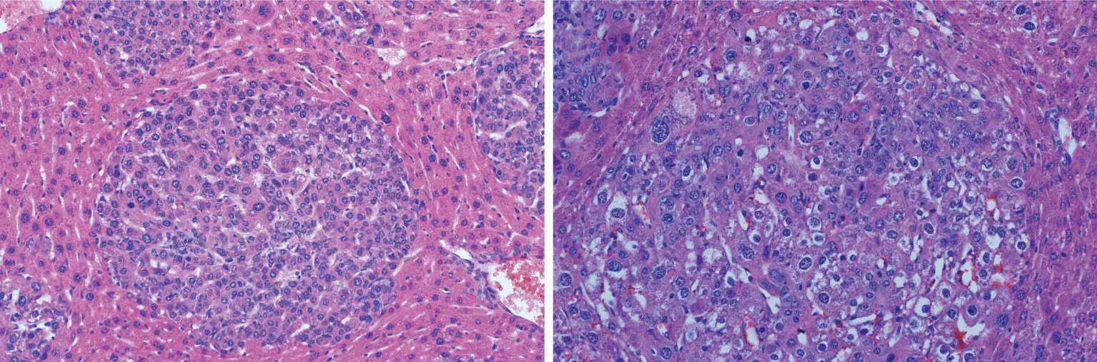
CSHL的科学家在小鼠身上创造了两种肝脏肿瘤亚型,如上图所示。左边的图像显示了一种肝脏肿瘤亚型,它与人类肝癌的最常见形式--肝细胞癌有关。右边是一种与较罕见的肝癌有关的肿瘤亚型,主要在儿童中发现,名为肝母细胞瘤。资料来源:Beyaz实验室/冷泉港实验室
"每个人都认为癌症只是一种类型,"Beyaz解释说。"但是有了不同的异构体,你就会出现具有不同特征的癌症亚型"。
Beyaz和他的同事通过用CRISPR锁定小鼠基因的一个部分Ctnnb1,产生了两种不同的肿瘤亚型。该工具主要用于抑制基因功能。这是第一次用CRISPR在小鼠体内产生不同的致癌功能增益突变。这些突变增强了蛋白质的活性以促进肿瘤的生长。该团队对每个肿瘤亚型进行了测序,以弄清哪种同构体与他们观察到的差异有关。
Beyaz说:"我们能够确定那些与不同癌症亚型相关的异构体。"对我们来说,这是一个令人惊讶的发现"。
为了确认这些异构体确实造成了差异,研究人员们在不使用CRISPR的情况下在小鼠体内产生了这些异构体。他们发现,他们确实能够生成具有各自特征的两种不同的肿瘤亚型。这两种肝脏肿瘤亚型在人类中也有发现。
Beyaz所针对的突变可以导致结肠癌和肝癌。瞄准外显子跳转已经成为治疗癌症和其他疾病的潜在治疗方法。Beyaz的新研究方法允许研究人员使用CRISPR在活体小鼠细胞中研究这一现象。该平台有朝一日可以帮助研究人员开发新的治疗干预措施。
Beyaz解释说,"我们想做的是找到研究癌症生物学的最佳模型,以便我们能够找到治疗方法"。