最近,由基础科学研究所认知和社会性中心主任C. Justin LEE领导的一个韩国科学家小组取得了一个新的发现,可以彻底改变阿尔茨海默病的诊断和治疗。该小组证明了一种机制,即大脑中的星形胶质细胞吸收了高浓度的醋酸盐,使其变成危险的反应性星形胶质细胞。然后,他们进一步开发了一种新的成像技术,利用这种机制直接观察星形细胞-神经元的相互作用。
阿尔茨海默病(AD)是痴呆症的主要原因之一,众所周知,它与大脑中的神经炎症有关。虽然传统的神经科学长期以来一直认为淀粉样β斑块是病因,但针对这些斑块的治疗方法在治疗或减缓阿尔茨海默病的进展方面成效甚微。

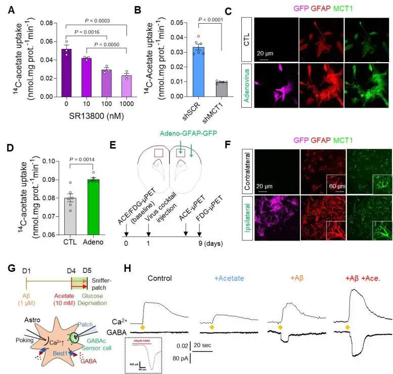
图1. 由MCT1介导的乙酸盐摄取的增强,促进了Aβ诱导的GABA在反应性星形细胞中的释放。A. MCT1抑制剂对原代培养的星形胶质细胞中14C-乙酸盐摄取的阻断作用。B. Mct1基因沉默对原代培养的星形胶质细胞摄取14C-醋酸的阻断作用。C. 腺病毒处理48小时后,原代培养的星形胶质细胞中GFAP和MCT1表达的代表图像。D. 腺病毒对14C-醋酸吸收的影响。E. 腺病毒模型的体内微PET成像示意图。F. 腺病毒模型中显示GFAP和MCT1表达的代表性图像。G. 记录GABA电流的嗅探器贴片示意图。H. Ca2+信号(顶部)和GABA电流(底部)的代表性痕迹。资料来源:基础科学研究所
另一方面,C. Justin LEE主任一直是一个新理论的支持者,即反应性星形胶质细胞是阿尔茨海默病背后的真正元凶。反应性星形胶质细胞增多,是AD中神经炎症的一个标志,往往先于神经元变性或死亡。
LEE的研究小组先前报告说,反应性星形胶质细胞和这些细胞内的单胺氧化酶B(MAO-B)酶可被用作AD的治疗目标。最近,他们还证实了星形胶质细胞中存在尿素循环,并证明激活的尿素循环会促进痴呆症。然而,尽管反应性星形胶质细胞在临床上很重要,但能够在临床上观察和诊断这些细胞的脑神经影像探针还没有被开发。
在这项最新的研究中,Lee的团队使用放射性乙酸盐和葡萄糖探针(11C-乙酸盐和18F-FDG)的正电子发射断层扫描(PET)成像来观察AD患者的神经元代谢变化。
这篇论文的第一作者之一NAM Min-Ho博士表示:"这项研究通过直接可视化反应性星形胶质细胞显示了重要的学术和临床价值,而这种细胞最近被强调为AD的主要原因"。

图2. 腺病毒模型(反应性星形胶质细胞病模型)中的11C-醋酸和18F-FDG体内微PET成像。A. 左图是基于体素的11C-乙酸盐和18F-FDG PET成像在腺病毒模型中的参数图像,有无KDS2010治疗的对比。右图是基于体素的11C-乙酸盐和18F-FDG PET成像比较的参数图像,该模型在使用扰乱-shRNA或MCT1-shRNA的腺病毒模型中。
此外,他们还证明了醋的主要成分醋酸是促进反应性星形胶质增生的原因,而反应性星形胶质增生会诱发腐胺和GABA的产生并导致痴呆症。首先,研究人员证明,在反应性星形胶质细胞病和AD的啮齿动物模型中,反应性星形胶质细胞通过升高的单羧酸盐转运体-1(MCT1)过度摄取乙酸盐(图1A至1F)。研究发现,乙酸盐摄取量的升高与反应性星形胶质细胞增多症有关,并在淀粉样蛋白(一种众所周知的AD毒素蛋白)存在时促进星形胶质细胞GABA的异常合成(图1G和1H)。
研究人员表明,用11C-乙酸盐和18F-FDG的PET成像可以用来观察神经炎和AD大脑中反应性星形胶质细胞引起的乙酸盐高代谢和相关的神经元葡萄糖高代谢(图2A)。此外,当研究人员在AD小鼠模型中抑制反应性星形胶质细胞增多和星形胶质细胞MCT1表达时,他们能够逆转这些代谢改变。

图3. 11C-乙酸盐和18F-FDG成像用于观察AD患者大脑中的反应性星形胶质细胞和相关的神经元葡萄糖低代谢。A. 对照组和AD患者的11C-乙酸盐和18F-FDG的代表性PET图像。B. 11C-醋酸纤维素SUVR、内皮层和海马体的18F-FDG SUVR与MMSE评分的多重关联。资料来源:基础科学研究所
尹美珍博士评论说:"与正常状态相比,反应性星形胶质细胞表现出代谢异常,过度摄取乙酸盐。我们发现,乙酸盐在促进星形胶质细胞的炎症反应方面起着重要作用"。
通过使用这种新的成像策略,该小组发现在AD小鼠模型和人类AD患者中持续观察到醋酸和葡萄糖代谢的改变(图3A)。他们能够证实,患者的认知功能与11C-乙酸盐和18F-FDG的PET信号之间存在强烈的相关性(图3B)。这些结果表明,以前被认为是星形胶质细胞特异性能量来源的醋酸酯,可以促进反应性星形胶质细胞的形成,并有助于抑制神经元的代谢。
RYU Hoon博士说:"通过证明乙酸盐不仅作为星形胶质细胞的能量来源,而且还能促进反应性星形胶质增生,我们提出了一种诱发脑部疾病中反应性星形胶质增生的新机制。"
直到现在,淀粉样β(Aβ)一直被怀疑是AD的主要原因,因此它们一直是大多数痴呆症研究的主要焦点。不幸的是,以Aβ为目标的PET成像在诊断病人方面有局限性,而旨在将其作为AD治疗目标的药物迄今都没有成功。然而,这项研究为我们提供了一种新的可能性,即利用11C-乙酸盐和18F-FDG PET成像来早期诊断AD。此外,新发现的通过乙酸盐和MCT1转运体的反应性星形胶质细胞增生机制为AD的治疗提供了新的目标。
C. Justin LEE博士表示:"我们证实了在AD动物模型中抑制MCT1,即星形胶质细胞特异性的乙酸盐运输时,有明显的恢复,"并补充说:"我们期望MCT1可以成为AD的新治疗目标。"