基因突变可以改变我们的基因产生的蛋白质的功能,并可能导致癌症等疾病。现在,研究人员以一种不太常用的方式使用基因编辑技术CRISPR/Cas 9,产生肝癌肿瘤,以更好地了解其背后的基因突变。

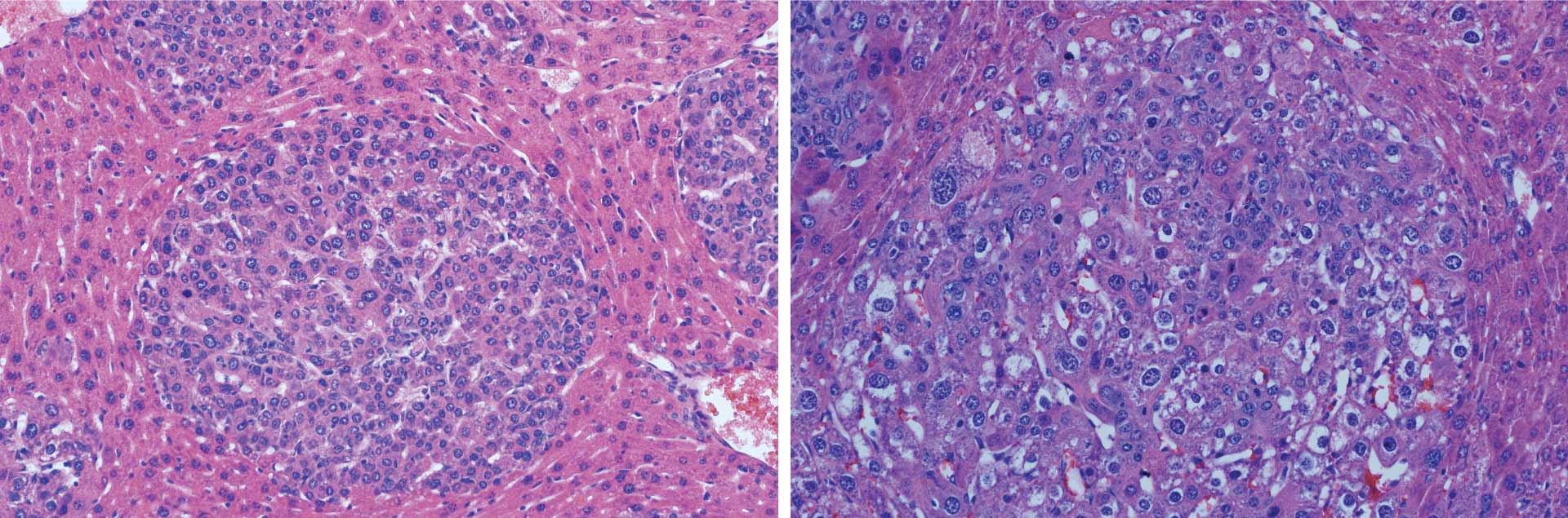
CSHL的科学家们在小鼠身上创造了两种肝脏肿瘤亚型,上面的图像。左边的图像显示了一种肝脏肿瘤亚型,它与人类肝癌的最常见形式--肝细胞癌有关。右边是一种与较罕见的肝癌有关的肿瘤亚型,主要发现于儿童,名为肝母细胞瘤。
基因包含产生蛋白质所需的信息。拼接是一个过程,从基因编码的信息中复制的RNA信息在被用作制造特定蛋白质的蓝图之前被编辑。
源自单一基因、功能高度相似但氨基酸序列不同的蛋白质被称为异构体。异构体的产生是身体对一个基因或蛋白质的特性进行模仿的方式。不同的异构体可以导致不同类型的癌症肿瘤的形成。这些肿瘤亚型很难在实验室中产生,因此难以研究。
为了更好地了解异构体如何导致不同类型肝癌的产生,一项新的研究使用基因编辑工具CRISPR/Cas9来研究不同的异构体如何导致不同肿瘤亚型的发展。
该研究的通讯作者Semir Beyaz说:"每个人都认为癌症只是一种类型。但是有了不同的异构体,你最终会出现具有不同特征的癌症亚型。"
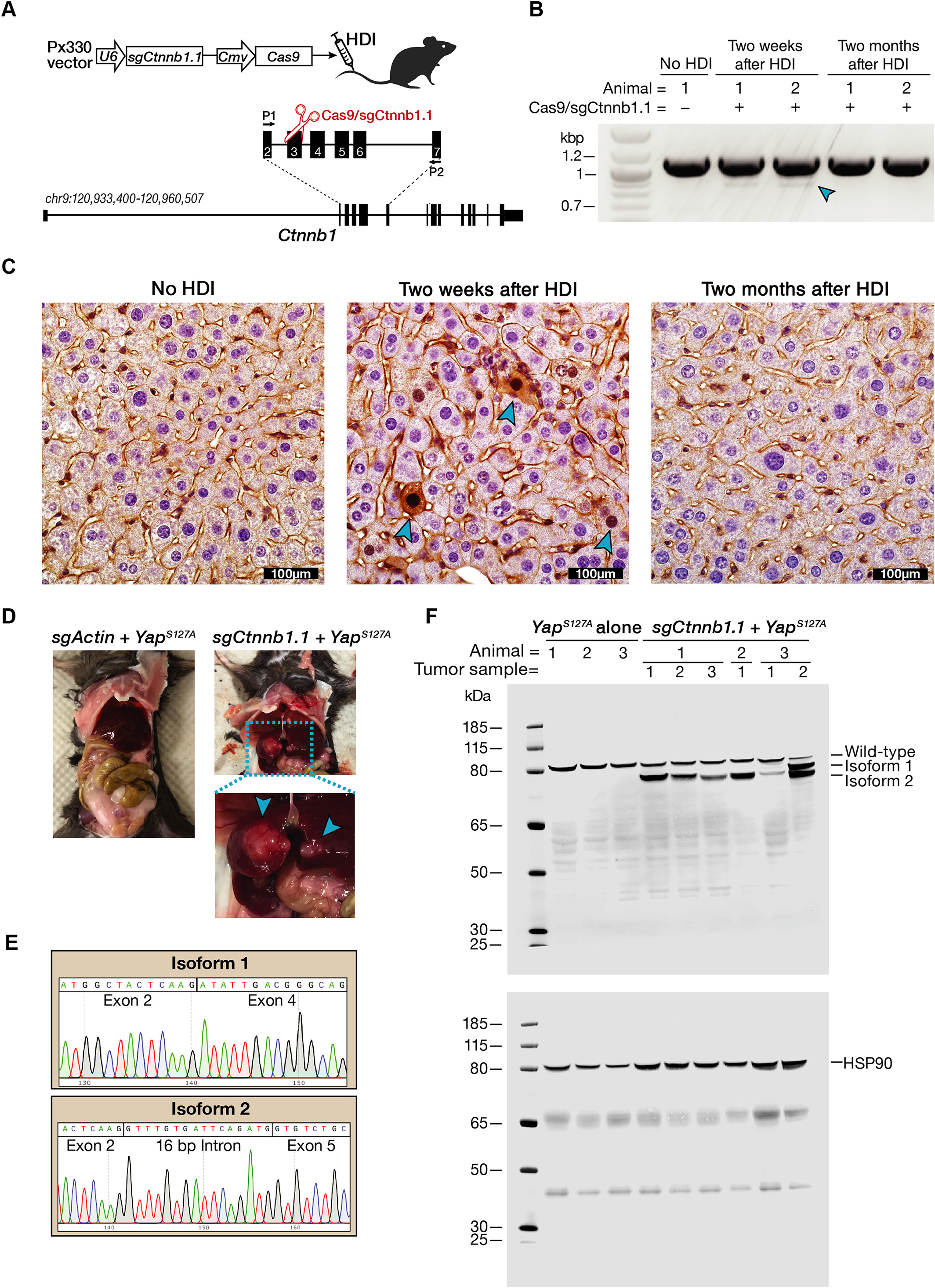
研究人员使用CRISPR/Cas9锁定了小鼠基因CTNNB1的一个部分。CTNNB1基因提供了制造一种叫做β-catenin的蛋白质的指令,这种蛋白质参与调节和协调细胞间的粘附,并参与基因转录。

以前的研究已经确定β-catenin是一种有效的致癌基因,这种基因可以将健康细胞转化为肿瘤细胞。CTNNB1基因的突变与广泛的癌症有关,包括肝癌和结肠癌。CTNNB1基因第3外显子的突变--外显子是编码蛋白质的DNA或RNA的一个部分--是参与肿瘤形成的基因转录的关键。
在目前的研究中,研究人员希望确定β-catenin突变如何推动肝癌肿瘤亚型的发展,即肝细胞癌(HCC)和肝母细胞瘤(HB)。HCC是成人肝癌中最常见的类型,约占所有肝癌的90%,而HB是一种罕见的肝癌形式,常见于儿童。
通常,CRISPR/Cas9技术被用来通过移除DNA序列的部分来抑制基因功能(功能丧失)。但在这里,研究人员首次将其用于功能增益研究,在小鼠中创造不同的致癌突变。
以这种方式使用CRISPR/Cas9刺激了蛋白质的活性,因此也刺激了肿瘤的生长。通过对肿瘤亚型、HCC和HB进行基因测序,研究人员发现,CRISPR/Cas9诱导的β-catenin异构体推动了肝脏肿瘤亚型。

Beyaz说:"我们能够确定那些与不同癌症亚型相关的异构体。对我们来说,这是一个令人惊讶的发现"。
为了证实这些异构体导致了突变,研究人员测试了他们是否能够在不使用CRISPR的情况下在小鼠中产生肝癌亚型。他们发现确实可以。
该研究强调了在功能增益研究中使用CRISPR/Cas9的潜力,并创造了一种模拟某些肝脏肿瘤亚型的新方法。它还进一步证明了外显子3在肿瘤发展中的作用以及靶向外显子跳过的好处。
外显子跳过是一种疗法,它使用突变特异性反义寡核苷酸(AON)--一种实验室制造的可以与特定RNA分子结合的DNA或RNA位点--来诱导RNA剪接,使细胞"跳过"有问题的或错位的外显子。
研究人员希望他们的发现可能会指导未来对癌症的新治疗干预措施的研究。
Beyaz说:"最终,我们想做的是找到研究癌症生物学的最佳模型,以便我们能够找到治疗方法。"
该研究发表在《病理学杂志》上。