自COVID-19爆发以来,科学家们一直在探索开发可通过鼻腔途径传递的粘膜疫苗。最近,柏林的研究人员成功地创造了一种用于鼻腔的减毒活疫苗。在最近的一项研究中,他们详细介绍了它所引起的独特免疫反应。


冠状病毒的传播主要是通过空气发生的,当受感染的人通过说话、咳嗽、打喷嚏或大笑而排出含有病毒的唾液飞沫。这些空气中的病原体然后被其他人吸入,导致感染。为了对抗导致COVID-19的病毒,柏林的一个研究小组决定针对最初的进入点,即鼻、口、喉和肺的粘膜。
为此,科学家们开发了一种通过鼻子注射的SARS-CoV-2减毒活疫苗。在最新一期的《自然-微生物学》杂志上,这个跨学科团队描述了这种减毒活疫苗如何比注射到肌肉中的疫苗赋予更好的免疫力。
早在去年秋天,两种鼻腔内的疫苗接种配方就已经在印度和中国获准使用。这些疫苗包含改良的腺病毒--通常会引起呼吸道或胃肠道疾病--具有自我减毒功能,这意味着它们要么复制能力差,要么完全停止复制,因此永远不会引发疾病。其他鼻腔活疫苗目前正在世界各地进行开发和测试。

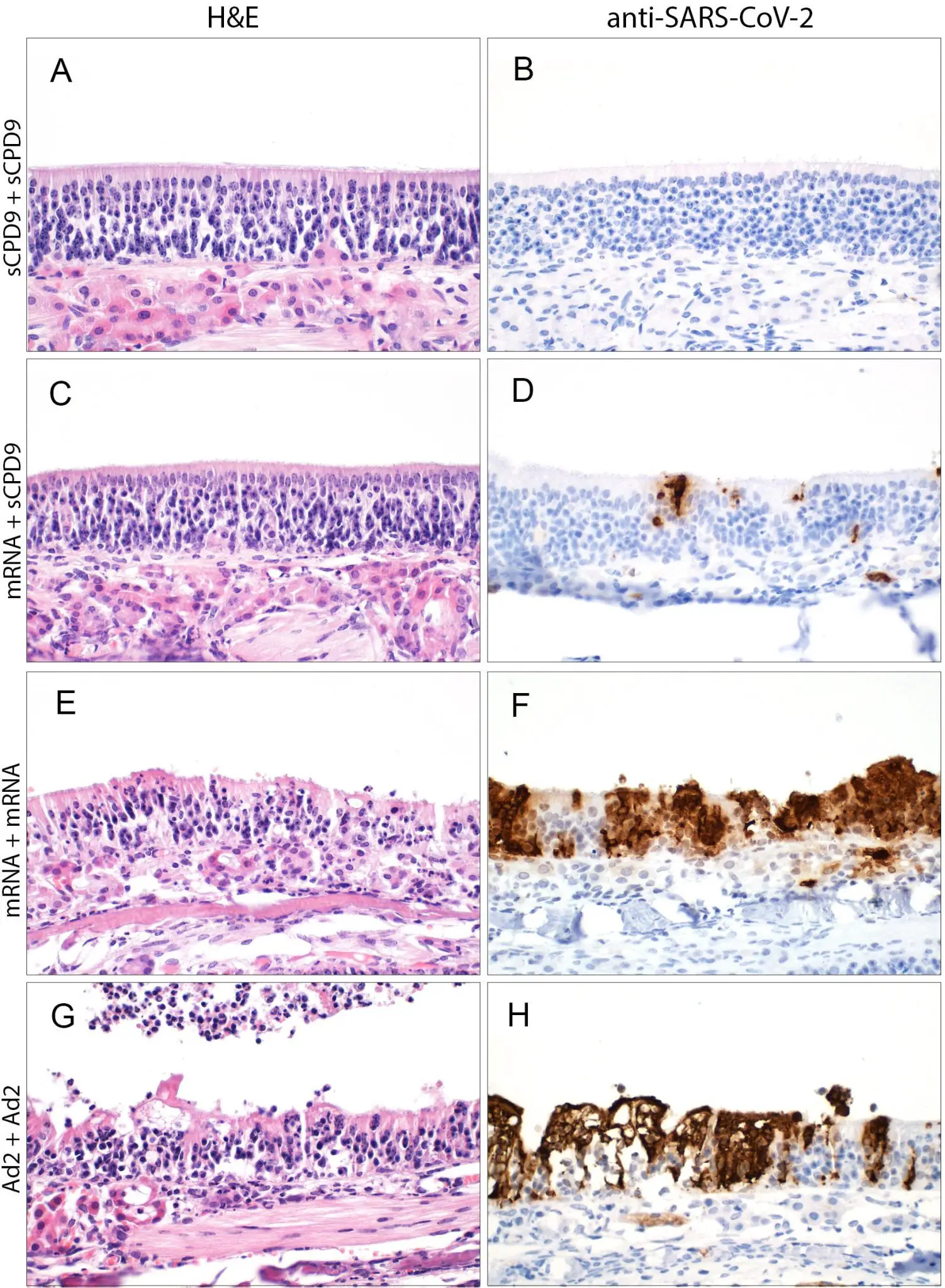
使用减毒活疫苗(A)进行双重接种后,仓鼠模型的鼻粘膜得到了很好的保护,几乎没有显示出SARS-CoV-2的任何变化(B)。活疫苗和mRNA疫苗的组合(C)也非常有效,但病毒仍能在鼻粘膜上找到小的攻击点(染成棕色)(D)。相比之下,双重肌肉注射疫苗在保护鼻粘膜方面的表现要差很多(E+F和G+H)。它们允许病毒损害上部组织层。资料来源:Anne Voß,柏林自由大学兽医病理学研究所



对感染部位的保护
鼻腔疫苗的好处远不止是为害怕针头的人提供一个替代方案。当疫苗被注射时,它主要在血液和整个身体内推导出免疫力。然而,这意味着免疫系统只在感染的相对晚期检测和打击冠状病毒,因为它们通过上呼吸道的粘膜进入身体。该研究的最后一位作者Jakob Trimpert博士解释说:"因此,如果我们想在早期拦截呼吸道病毒,我们需要局部免疫。"
"鼻腔疫苗在这方面比注射疫苗有效得多,因为注射疫苗无法或难以到达粘膜,"另一位最后的共同作者Emanuel Wyler博士强调道。自大流行开始以来,他一直在研究COVID-19,作为RNA生物学和转录后调节实验室的一部分,该实验室由马克斯-德尔布吕克中心柏林医学系统生物学研究所(MDC-BIMSB)的Markus Landthaler教授领导。
在理想的情况下,鼻内活疫苗会直接刺激抗体免疫球蛋白A(IgA)的形成,从而在第一时间防止感染的发生。IgA是呼吸道粘膜中最常见的免疫球蛋白。它能够通过与病原体结合来中和病原体,防止它们感染呼吸道细胞。同时,该疫苗能刺激全身免疫反应,帮助提供有效的整体保护以避免感染。
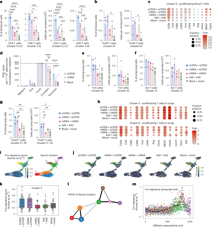
"驻扎在肺部组织中的记忆T细胞与粘膜中的抗体发挥着类似的有益作用,"夏里特大学肺病学、呼吸医学和重症监护医学系的免疫学家和研究小组组长杰拉尔丁-努埃斯博士解释道。"这些白细胞在感染过后很长一段时间仍留在受影响的组织中,并记住它们以前遇到过的病原体。由于它们在肺部的位置,它们可以对通过呼吸道进入的病毒做出快速反应"。这位共同第一作者提请注意该团队在研究期间进行的一项观察:"我们能够表明,事先的鼻内疫苗接种导致这些局部记忆细胞在随后的SARS-CoV-2感染中的重新激活率增加。不用说,我们对这一结果感到特别高兴"。