一项来自雪松-西奈的新研究表明,一些被诊断为行为变异性额颞叶痴呆症(bvFTD)的患者--一种使患者失去控制其行为和应付日常生活的能力的不治之症--可能伴随有脑脊液渗漏,这通常是可以治疗的。研究人员说,这些发现发表在同行评议的《阿尔茨海默病与痴呆症》-《转化研究和临床干预》杂志上,可能为治愈疾病指明了方向。
脑脊液渗漏和微血管神经外科项目主任、雪松-西奈医院神经外科教授Wouter Schievink博士说:"这些患者中的许多人经历了认知、行为和人格的改变,以至于他们被强制安置在养老院。如果他们患有原因不明的行为变异型额颞叶痴呆症,那么就没有办法治疗。但我们的研究表明,如果我们能找到脑脊液渗漏的源头,脑脊液渗漏患者是可以治愈的。"

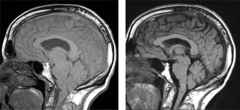
左图:大脑下垂的图像。在右边。大脑下垂的术后解决。资料来源:雪松-西奈医学中心
脑脊液(CSF)在大脑和脊髓内和周围循环,以帮助缓冲它们的伤害。当这种液体泄漏到体内时,大脑会下垂,导致痴呆症状。Schievink说,许多大脑下垂的病人可以通过核磁共振成像检测出来,如果没有被诊断出来,他建议临床医生对有明显症状的病人进行第二次检查。
"知识渊博的放射科医生、神经外科医生或神经科医生应该再次检查病人的磁共振成像,以确保没有脑下垂的证据,"Schievink说。

Wouter Schievink,医学博士。资料来源:雪松-西奈医学中心
临床医生还可以询问有无严重头痛的历史,这些头痛在病人躺下后会有所改善,即使夜间睡眠充足也会有明显的困意,以及病人是否曾被诊断为Chiari脑畸形,这是一种脑组织延伸到椎管内的情况。Schievink说,脑下垂常常被误认为是Chiari畸形。
即使检测到大脑下垂,CSF泄漏的来源也很难找到。当液体通过周围膜的撕裂或囊肿渗漏时,在造影剂的帮助下,CT骨髓造影可以看到它。
Schievink和他的团队最近发现了CSF泄漏的另一个原因:CSF-静脉瘘。在这些情况下,液体渗入静脉,使其在常规CT骨髓造影中难以看到。为了检测这些渗漏,技术人员必须使用专门的CT扫描,并观察造影剂在脑脊液中流动时的动态。
在这项研究中,研究人员对21名有脑下垂和脑外伤症状的患者使用了这种成像技术,他们在其中9名患者身上发现了CSF-静脉瘘。所有9名患者都通过手术关闭了瘘管,他们的大脑下垂和伴随的症状完全得到了扭转。
"这是一个快速发展的研究领域,成像技术的进步大大提高了我们检测脑脊液渗漏源的能力,特别是脑脊液-静脉瘘,"雪松-西奈神经外科系主任、露丝和劳伦斯-哈维神经科学讲座教授Keith L. Black博士说。"这种专门的成像技术并不广泛,这项研究表明需要进一步研究以提高患者的检测和治愈率"。
其余12名研究参与者的脑脊液泄漏无法被识别,他们接受了旨在缓解大脑下垂的非靶向疗法的治疗,如为患者注入CSF的植入式系统。然而,这些病人中只有三个人的症状得到了缓解。
Schievink说:"需要做出巨大的努力来提高这些患者的CSF泄漏的检测率。我们已经为无法检测到泄漏的患者开发了非靶向治疗,但正如我们的研究所显示的,这些治疗的效果远不如靶向、手术矫正泄漏。"