最近这疫情又严重了……新年开工以来,这本土新增的趋势直接让人梦回 2020。隔壁香港是最严重的,单日新增突破三万。除了六万多例的新冠肺炎确诊患者以外,竟然还新增了上百例死亡。可能也是疫情防控的压力有点大,香港卫生署发文取消了之前的核酸检测复检流程。
引用:省却由检测营办商检测为初步阳性的个案需交由卫生署公共卫生化验服务处覆检的程序,检测营办商的核酸检测阳性个案会直接视为确诊。
说白了,不管你是在家自测还是第三方机构测,只要结果显示阳性,就直接确诊感染新冠病毒,不需要再把样本送去公共卫生署复检。
这波直接把公共卫生署的复检流程砍掉,多少让人有点担心。
因为核酸检测这事,连官方检测都存在误差,更何况个人自检和第三方。这万一出现些假阴性病例,还大摇大摆的街上乱逛,到时候传染一堆可就坏上加坏了。
比如 2020 年初的时候,美国那边的核酸检测试剂盒就曾出现大批量污染的问题。
全美国境内收到的 26 家试剂盒,有 24 家出现检测组件交叉感染无法使用的问题,导致疫情爆发初期就出现核酸检测假阴性的状况,这为日后疫情大爆发埋下了伏笔。
也因为这事,《 纽约时报 》还把美国疾病预防与控制中心的新冠病毒检测政策,称为 “ 史诗级的失败 ”。
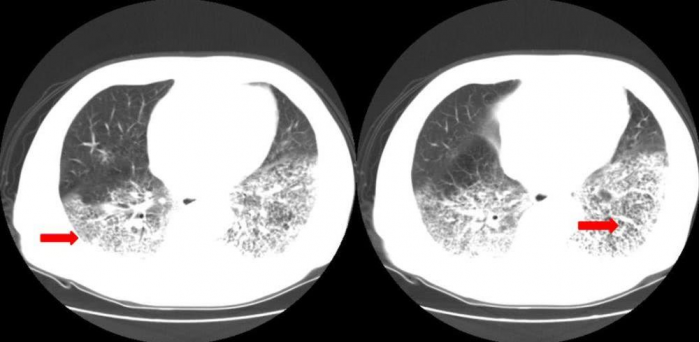
国内这边,2020 年疫情刚爆发那会,有患者在医院照 CT 的时候已经明显双肺病变,有磨玻璃状阴影。但硬是核酸检测 6 次依然是阴性。
有关专家也曾表示,CT 结果非常符合新冠肺炎但核酸检测却为阴性的病例大约占 30-40%。
那为啥核酸检测会有这么大的出错概率?

这事我们得从核酸检测是如何检测新冠病毒上说起。
以最常用的荧光 PCR 法为例来说。
病毒核酸检测,其实就是对病毒的遗传物质 RNA 进行检测。无论你穿多少层马甲,怎么变异,那个核始终是变不了的。

我们从鼻腔和咽部采出样本,再把样本里的病毒 RNA 给提取出来。
但因为病毒 RNA 结构十分不稳定,所以要把 RNA 通过反转录技术,变成一种叫 cDNA 的玩意,更方便检测。
后面的任务就是检测从你鼻孔里挖出来样本里,到底有多少病毒 cDNA。但直接转录出来的 cDNA 量太少,检测不出来,所以咱还得进行多轮扩增。
利用某些 “ 肥料 ”,让 cDNA 不断复制,使它的数量指数级的增长。
每复制一轮,我们还要给病毒撒上一轮荧光剂,这就相当于是给每个病毒都打上 “ 标签 ”,后面直接检测这些 “ 标签 ”,就能看出你是否确认感染新冠病毒。
要经过多少轮才能检查到足够数量的 “ 标签 ”,这个就被称为核酸检测的 Ct 值。
之后根据 Ct 值结果来判断是否确诊新冠病毒。( 注意:这里的 Ct 值跟我们常说的照 CT 是完全两码事 )
评判标准是 Ct 值越高,载毒量就越低,意味着需要经过很多轮的复制才能检测到。Ct 值越低,代表载毒量越高,稍微一复制就查出病毒了。
所以,根据中国疾病预防控制中心的数据。无 Ct 值或 Ct 值为 40,则为阴性。Ct 值<37,可报告为阳性。Ct 值在 37-40 之间,为可疑,建议重复实验。
问题就出现在 Ct 值这块,这也是核酸检测准确性争议最大的地方。
Ct 值检测流程太复杂,中间稍微有点差错就可能 “ 阴阳互换 ”。
去年 10 月,美国临床化学协会《 临床化学 》杂志发表了一篇文章,表示核酸检测不应该唯 “ Ct ” 值论。
他们调查了英国、比利时和韩国的三个核酸检测实验室,筛查了 6000 多名接受 PCR 核酸检测的患者。
发现同样的样本,在不同的实验室检测会出现 16-90% 的结果差异。
并列举了,核酸检测前、检测中和检测后等上百项可能影响核酸检测结果的因素。
其中,采样来自左右鼻孔,检测前是否大量饮水,检测中荧光试剂批次不同,都会对检测结果的 Ct 值带来影响。
所以说,核酸报告 Ct 值存在许多局限性,专家也不建议使用 Ct 值来对患者进行管理,我们国家也已经取消了在核酸报告上显示 Ct 值,只出具阴性或阳性的信息。
那既然核酸检测有差错,为啥我们每次还要进行大规模的核酸检测呢?
虽然核酸检测存在一定误差,但这无疑是目前筛查新冠阳性患者最快最经济的手段。
PCR 核酸检测最快 4-6 小时就能出结果,而另一种诊断新冠病毒感染的方法基因测序则需要 24-72 小时以上。
面对这个连呼吸都能传播的新冠病毒,一旦发现阳性患者或物体,核酸检测是大范围筛查的必要手段,可以尽可能快速全面的找出处在潜伏期的无症状感染者。
而且我们现在的核酸检测,无论是实验规范、检测流程和采样流程等都比疫情刚爆发那会更加成熟和专业,核酸检测的准确性已经拉满。
比如,现在的核酸检测医护人员必须经过严格的理论培训和操作考核,落实真正的 “ 持证 ” 上岗。每一个样本都要进行单独的两层无害包装,在拿出样本时还要进行 “ 一层一消毒 ” 的严格处理,把样本交叉感染的可能性降到最低。
每一件样本检测,都必须加入阴性对照、阳性对照、质控,和生理盐水对照,确保核酸检测结果的可靠和准确。
这极其严格的检测规范,使最近的疫情里几乎没有出现过多次检测依然阴性的新冠病毒感染者。
除了检测更加规范,我们的 Ct 值判断界限也要比其它国家更严格。

比如加拿大规定 Ct 值 35 以下算阳性,德国规定 30 以下才算是阳性,不具备传染性。
在国内,Ct 值 37 以下就确定为阳性。
提高标准,意味着尽可能的把病毒扼杀在摇篮里,不放过一丝一毫可能传播病毒的机会。也是因为这样,我们的动态清零政策才能充分发挥作用,这也是中国疫情防控能够领先全球的关键。
著名的医学杂志《 柳叶刀 》的一项研究表明,中国政府的 “ 动态清零 ” 政策给予了公民足够的信任,这些信任使大家更好的遵守社交距离、密接跟踪以及口罩和疫苗管理的规定。
这些政策,让我们商店购物、办公和地铁出行的日常生活恢复的跟 2019 年疫情爆发前几乎一样。
所以最后,一旦你所处地区有疫情,咱该核酸还是得核酸,好好配合医护人员,争取早日把疫情杀干净。