返回上一页  首页 | cnbeta报时: 19:33:31
研究:免疫细胞调节肽可帮助实验鼠预防1型糖尿病
发布日期:2021-08-16 14:46:23  稿源:Win10s.COM

据外媒报道,根据对培养的人类细胞和活老鼠的新测试,一种被称为MOTS-c的肽在预防1型糖尿病方面表现出前景。这种肽似乎可以调节免疫系统,它可能有助于治疗1型糖尿病和其他自身免疫疾病。1型糖尿病开始于患者的免疫系统错误地攻击胰腺中产生胰岛素的细胞。

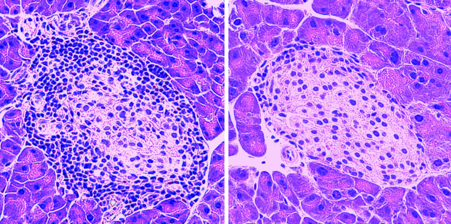
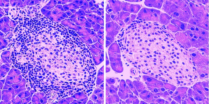
Histology-Lee-Cell-Reports-Aug-2021-900x448.jpg

由于血液中的胰岛素减少,身体无法将葡萄糖转化为细胞所需的能量,需要患者根据需要手动注射胰岛素。

但在这项新研究中,南加州大学和首尔国立大学的研究人员可能找到了防止这种破坏的方法。关键是一种被称为MOTS-c的肽,该团队此前已经证明,这种肽可以模拟锻炼的好处并提高老年小鼠的健康和整体健康水平。

有趣的是,MOTS-c实际上并不是由我们细胞中的主要基因组编码的。相反,它是在线粒体中产生的,线粒体是为细胞提供能量的细胞器,其包含它们自己的基因组。

研究人员在这项新研究中将老鼠改造成1型糖尿病,然后给它们注射MOTS-c。果然,这种治疗阻止了动物细胞的破坏并防止了小鼠出现高血糖。

MOTS-c似乎通过支持调节性T细胞发挥作用,这些细胞的任务是识别人体自身细胞和外来病原体的区别。这就减少了被激活攻击胰岛素产生细胞的杀伤T细胞的数量。

“我们能在小鼠模型中预防1型糖尿病的发病,”该研究的论文共同通讯作者Changhan David Lee指出,“MOTS-c注射似乎驯服了免疫系统,并告诉它不要处理自己的细胞。”

虽然这种治疗还处于早期阶段,但有迹象表明,这种结果可能会对人类产生影响。研究小组发现,1型糖尿病患者血液中MOTS-c的含量远低于非糖尿病患者。在对培养的人类细胞进行的后续试验中,MOTS-c治疗降低了杀伤T细胞的激活,这跟在小鼠中的表现相同。研究人员还表示,这项技术可能适用于治疗除1型糖尿病之外的其他自身免疫性疾病。

查看网友评论   返回完整版观看

返回上一页  首页 | cnbeta报时: 19:33:31

文字版  标准版  电脑端

© 2003-2026