返回上一页  首页 | cnbeta报时: 14:22:32
科学家将人工智能工具用于分析CT扫描 几秒钟内发现前列腺癌
发布日期:2021-07-09 15:42:07  稿源:Win10s.COM

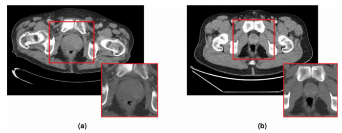
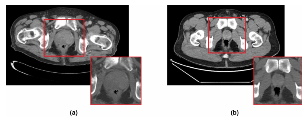
据外媒New Atlas报道,人工智能的不断进步有望以各种令人兴奋的方式撼动医疗服务,它能够快速扫描医疗图像,并比人类更有效地发现疾病的迹象。澳大利亚的科学家们现在已经将这种技术应用于前列腺癌的早期检测,他们的软件在几秒钟内就能比训练有素的放射科医生发现癌症的生长。

P1YP``UCYFK27@7MH](]T(3.png

对于许多疾病,早期诊断可以大大改善现有的治疗方法,从而提高战胜疾病的机会。机器学习和计算能力的提高导致了高度能干的人工智能形式,在这方面可能是无价的。我们已经看到人工智能工具可以提高心电图揭示心脏功能障碍的能力,更准确地预测卵巢癌患者的存活率,就在本周,通过测量心脏周围的脂肪来计算糖尿病风险。

这方面的最新例子来自皇家墨尔本理工大学和圣文森特医院的研究人员,他们从患有和未患有前列腺癌的无症状患者的CT扫描开始。科学家们指出,一般来说,CT扫描对检测骨骼和关节问题等疾病很有用,但放射科医生很难用它们来检测前列腺癌。

T7RS%_]@~2KMXXJPP(0R__Q.png

利用CT扫描,人工智能软件被训练来搜索可能表明该疾病的不规则现象。该工具随着每次扫描的进行而改进,完善其能力并适应分析不同机器的扫描,最终发现疾病的最小特征。随着时间的推移,它能够胜过放射科医生,在几秒钟内检测出癌症的生长,甚至在病人出现任何症状之前。

“我们已经训练我们的软件看到人眼无法看到的东西,目的是通过偶然的检测发现前列腺癌,”研究报告的作者、皇家墨尔本理工大学的Ruwan Tennakoon博士说。“这就像训练一只嗅觉灵敏的狗--我们可以教人工智能看到我们自己的眼睛看不到的东西,就像狗可以闻到人类鼻子闻不到的东西一样。”

科学家们说,这项技术可以适用于各种诊断设备,如核磁共振仪。希望它可以作为CT扫描的一种综合筛查工具,CT扫描涉及高剂量的辐射,因此不适合常规癌症筛查。但是,如果病人因其他原因进行CT扫描,该人工智能工具可以同时用于筛查他们的癌症。

“澳大利亚没有前列腺癌筛查计划,但有了这项技术,我们希望能在因其他原因而接受扫描的病人中及早发现病例,”墨尔本圣文森特医院影像诊断部CT主任Mark Page博士说。“例如,进行CT扫描的急诊病人可以同时接受前列腺癌的筛查。如果我们能更早地发现它,并更快地将他们转到专科护理,这可能对他们的预后产生重大影响。”

这项研究发表在《科学报告》杂志上。

查看网友评论   返回完整版观看

返回上一页  首页 | cnbeta报时: 14:22:32

文字版  标准版  电脑端

© 2003-2026