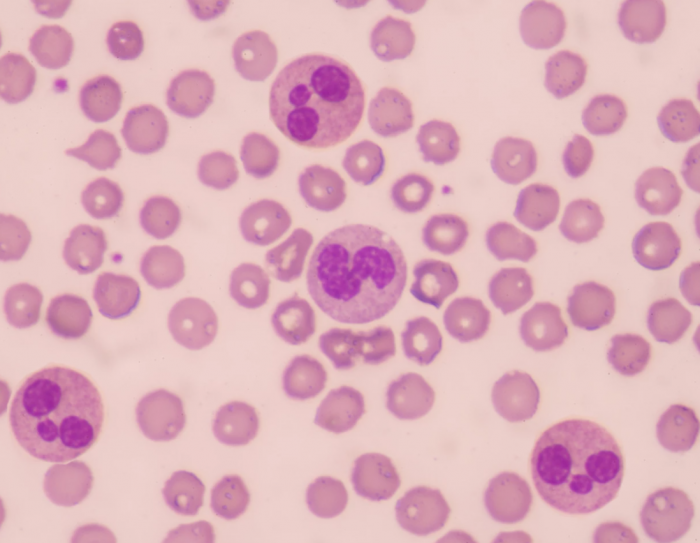
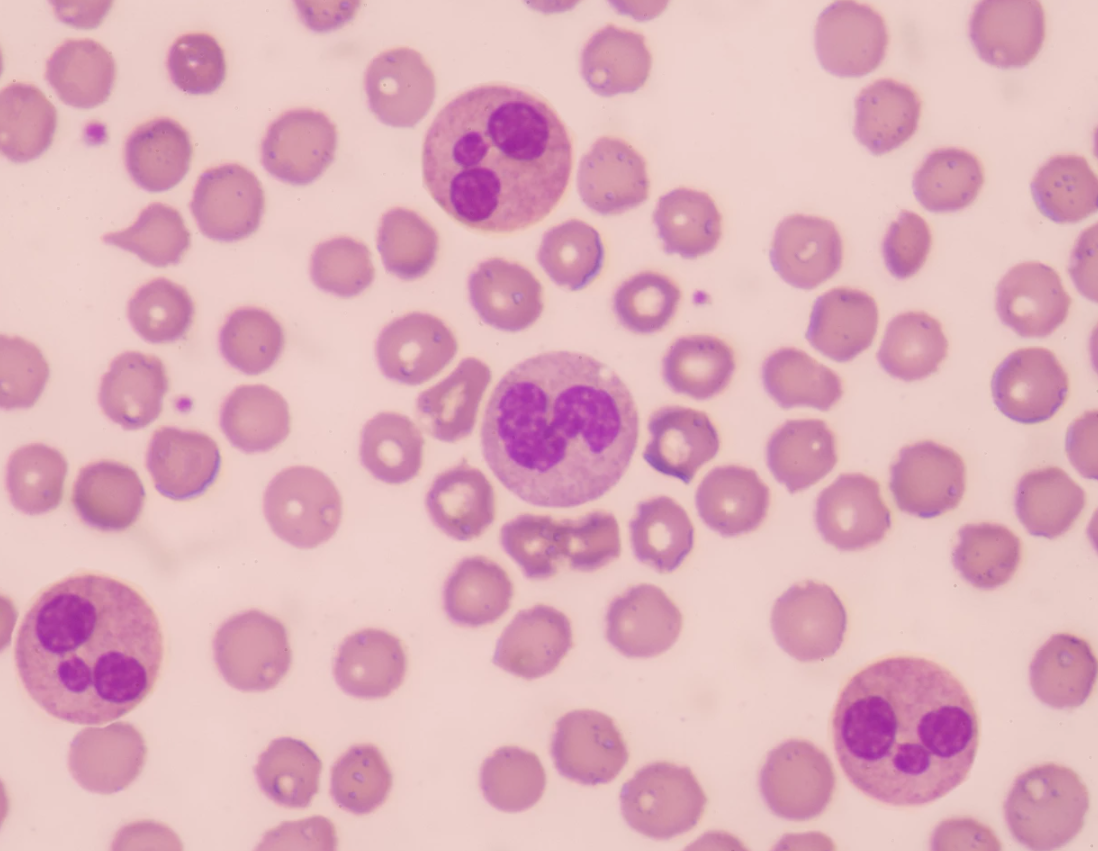
据外媒报道,研究人人员在人类血液中发现了一种全新的粒子。拉霍亚免疫学研究所(LJI)的研究人员首次在患有败血症的小鼠身上发现了这种香肠状结构,它们似乎与炎症疾病有关。该团队最初注意到小鼠血管壁上粘有长而薄的形状,并意识到医学文献中没有对它们的描述。在进一步的研究中,他们最终将其称为 "拉长的中性粒细胞衍生结构"(ENDS)。
“我们实际上在人体中发现了一种从未被描述过的新粒子,”该研究的第一作者Alex Marki说。“这不是每天都会发生的事情。”
这些粒子是由中性粒细胞产生的,中性粒细胞是人体最常见的受伤和疾病的“第一反应者”。中性粒细胞在血液中的移动方式有点像沿着血管壁滚动和翻滚。LJI团队发现,在这样做的过程中,它们会留下碎片,成为ENDS。
中性粒细胞使用被称为系带的管子连接自己,随着它们的移动,这些系带变得更长。最终,它们会断裂,飘走成为一个ENDS。成像显示,这些ENDS会粘在血管壁上一小会儿,随着时间的推移,在最终死亡之前会卷曲起来。

这些小结构迄今为止只在培养细胞、活体小鼠和人类败血症患者中被检测到,这也许可以解释它们是如何设法避免检测这么长时间的。由于中性粒细胞的数量在感染的情况下会增加,因此ENDS也会在这些患者中以更高的数量出现。
“ENDS并不正常--它们在健康人或小鼠中无法检测到,”该研究的资深作者Klaus Ley说。“但ENDS在败血症中非常高,如果它们在其他炎症性疾病中也很高,我也不会感到惊讶。”
从长远来看,ENDS可以作为某些疾病的生物标志物,尽管研究人员表示,检测它们的技术还没有达到广泛的临床应用所需的水平。该团队希望通过收集更多患者的样本,在疾病发展的不同阶段,进一步研究ENDS。
该研究发表在《实验医学杂志》上。